- При наличии воспалительных заболеваний;
- При отклонениях в клиническом анализе крови (при снижении гемоглобина, гематокрита, количества эритроцитов);
- Для уточнения причин анемии (железодефицитная анемия или анемия хронических заболеваний (АХЗ);
- При "парадоксальном" повышении ферритина (хроническое воспаление, опухоли и тд).
Индекс растворимого рецептора трансферрина/ферритин (sTfR/log ферритина) является интегральным показателем, объединяющим обмен железа и эритропоэтическую функцию костного мозга. Основным источником растворимого рецептора трансферрина являются эритробласты, и уровни растворимого рецептора трансферрина отражают плотность рецепторов трансферрина на клетках (насыщенность клеток железом) и количество клеток с этими рецепторами (эритропоэтическая активность). Ферритин является переносчиком железа, который синтезируется гепатолиенальной системой, определяющий перенос железа из селезенки в костный мозг. Его концентрация значительно снижается при железодефицитной анемии (ЖДА).
У пациентов с анемией и сопустствующими воспалительными заболеваниями необходимо различать ЖДА и анемию хронического воспаления. Данные патологии дифференцируются в основном по таким показателям, как ферритин, сывороточное железо, общая железосвязывающая способность сыворотки (ЖСС), трансферрин и насыщение трансферрина железом. Однако на эти тесты напрямую влияет хроническое воспаление, что затрудняет клиническую интерпретацию результатов. Уровни ферритина, как правило, снижаются при ЖДА, но могут повышаться за счет острофазной реакции, возникающей на фоне острых или хронических воспалительных процессов. Точно так же сывороточное железо, ЖСС и трансферрин изменяются в результате сосуществования дефицита железа и инфекции или воспаления. Эти изменения затрудняют интерпретацию у пациентов с дефицитом железа, у которых есть сопутствующая инфекция или воспалительное заболевание. Растворимый рецептор трансферрина (sTfR), как было показано, является индикатором дефицита железа и не подвержен изменениям на фоне сопутствующих хронических заболеваний и воспаления. Рецептор трансферрина представляет собой трансмембранный клеточный белок, который в основном экспрессируется в клетках, в которых требуется железо, а растворимая форма повышается в сыворотке и плазме в случаях дефицита железа.
Уровни ферритина в сыворотке отражают запасы железа, тогда как уровни sTfR отражают степень доступности железа для клеток. Расчет индекса sTfR/log ферритина по этим двум показателям позволяет оценить содержание железа в организме в широком диапазоне нормальных и истощенных запасов железа. Таким образом, индекс sTfR/log ферритина использует взаимную зависимость между двумя переменными, на которые влияет дефицит железа, увеличение sTfR и снижение концентрации ферритина. Таким образом, комплексное исследование уровней sTfR и ферритина и вычисление индекса sTfR/log ферритина позволяет более тщательно диагностировать анемию хронического восппаления.
Анемию хронического заболевания (АХЗ) часто также называют «анемией воспаления», поскольку она связана с различными заболеваниями, включая воспалительные состояния, инфекции и злокачественные новообразования. АХЗ является полиэтиологичным заболеванием и является следствием как ингибирования эритроцитопоэза, так и умеренное снижением продолжительности жизни эритроцитов (RBC). Развитие АХЗ является своего рода защитным механизмом, например, может служить для снижения инфекционной вирулентности малярия и шистосомоза, а также замедлять рост злокачественных новообразований. Гепсидин, медиатор как врожденного иммунитета, так и регуляции железа, играет важную роль в патогенезе АХЗ.Таким образом, АХЗ – это нормоцитарная нормохромная анемия средней степени тяжести с уровнями гемоглобина в диапазоне от 8 до 9,5 г/л. АХЗ является второй по частоте причиной анемии после железодефицитной анемии и наиболее частой анемией у госпитализированных пациентов. В течение 2-месячного периода наблюдения 52% госпитализированных пациентов соответствовали критериям для лечения АХЗ. 3-х летняя заболеваемость пациентов старше 60 лет составляет 24%. АХЗ также чрезвычайно распространена при раке и выявляется у 39% пациентов онкологического профиля, при этом химиотерапия с и без лучевой терапия увеличивают частоту анемии до 63% и 42% соответственно. У 55,8% пациентов с вирусом иммунодефицита человека (ВИЧ) развивается АХЗ. Ревматоидный артрит (РА) ассоциирован с анемией легкой степени тяжести в 33%- 60% случаев. Степень анемии коррелирует с уровнем маркеров и/или медиаторов воспаления, таких как скорость оседания эритроцитов (СОЭ), уровень С-реактивного белка (СРБ) или уровень интерлейкина-6 (ИЛ-6).Различные заболевания, которые обычно не считаются воспалительными, такие как застойная сердечная недостаточность, ожирение, почечная недостаточность и диабет также ассоциированы с анемией по типу АХЗ по причине развития цитокиновых реакций, более характерных для воспалительных заболеваний (повышенный уровень интерлейкина-6 и СРБ при заболеваниях почек или высокий СРБ и фибриноген при инфаркте миокарда). Однако из-за отсутствия диагностических критериев точные эпидемиологические данные относительно распространенности АХЗ отсутствуют.
Патогенез
AХЗ характеризуется низким содержанием железа в сыворотке и нарушением гомеостазе железа в организме. В отличие от истинного дефицита железа в рационе, железо присутствует в макрофагах, и общее содержание железа в организме может быть нормальным или повышенным. Исследования последних десяти лет показывают, что синтез железо-регулирующего антимикробного пептида гепсидина индуцируется цитокинами во время острых и хронических воспалительных реакций, что приводит к состоянию функционального дефицита железа. Кроме того, другие факторы, такие как ингибирование эритроцитопоэза и уменьшенная продолжительность жизни эритроцитов также осуществляют значимый вклад в патогенез данного заболевания.
Макрофаги играют центральную роль в метаболизме железа и участвуют в повторном использовании железа из стареющих эритроцитов, что обеспечивает более 95% суточной потребности в железе для нормальных физиологических процессов, включая эритропоэз. При воспалительных реакциях происходит задержка железа в макрофагально-фагоцитарной системе. Активация иммунных клеток во время инфекций, аутоиммунных процессов и онкологии также сопровождается выработкой многочисленных цитокинов, которые индуцируют синтез гепсидина в печени. Гепсидин связывается с железо-экспортным белком ферропортином, приводит к его деградации, что препятствует клеточному экспорту железа, а также всасыванию железа в кишечнике. Тот же механизм препятствует экспорту железа из макрофагов, усугубляя низкие уровни железа в сыворотке и усиливая задержку железа в макрофагах.
Другие механизмы также способствуют нарушению метаболизма железа и в основном опосредованы цитокинами. Фактор некроза опухоли-альфа (TNF-α), интерлейкин-1 (IL-1), интерлейкин-6 (IL-6) и IFN-β увеличивают поглощение связанного с трансферрином и свободного железа. Кроме того, многие из этих цитокинов способствуют увеличению накопления железа в моноцитах / макрофагах за счет увеличения экспрессии ферритина.
При АХЗ наблюдается непосредственное ингибирование эритропоэза и относительный дефицит эритропоэтина, что тоже ассоциировано с провоспалительным цитокиновым профилем. Во время воспаления экспрессия эритропоэтина уменьшается, что частично обусловлено цитокиновыми изменениями.
Лабораторная диагностика
Полиэтиологичный характер и распространенность АХЗ затрудняют постановку диагноза. Кроме того, нередко первичные гематологические дефекты сопровождаются воспалением, или наоборот, другие факторы, которые также приводят к анемии, такие как дефицит питательных веществ, кровопотеря, гемолиз, почечная недостаточность и первичная нарушения костного мозга могут влиять на гематологическую картину. Дефицит железа также может быть вторичным по отношению к снижению всасывание железа, как при аутоиммунном гастрите и целиакии. До 70% анемий, выявляющихся на фоне РА, являются многофакторными. У 13 % с диагностированной АХЗ присутсвует дефицит железа, фолатоа или дефицит витамина B12. Наконец, нельзя не дооценивать вклад частой флеботомии при госпитализации.
Как правило, АХЗ бывает нормохромная и нормоцитарная легкой или умеренной степени тяжести (хотя анемия может становиться микроцитарной по мере прогрессирования заболевания) без ретикулоцитоза, что отражает гипопролиферативный характер анемии. О воспалении свидетельствуют такие показатели анализа крови, как нейтрофилия, моноцитоз или тромбоцитоз, а также неспецифические маркеры воспаления, (СРБ и СОЭ).
Исключение железодефицитной анемии (ЖДА) очень важно при диагностировании АХЗ, хотя эти два состояния часто сосуществуют. Как правило, сывороточное железо и насыщение трансферрина железом уменьшаются как при АХЗ, так и при дефиците железа, что указывает на ограниченное поступление железа в эритрон, но уровни трансферрина повышаются при ЖДА, тогда как при АХЗ они нормальные или снижаются. Измерение сывороточного ферритина часто неинформативно, поскольку ферритин является белком острой фазы, а также индикатором запасов железа, и его уровни будут повышаться при наличии воспаления. Золотым стандартом для оценки запасов железа биопсия костного мозга, но она имеет ограниченную ценность в диагностике АХЗ.

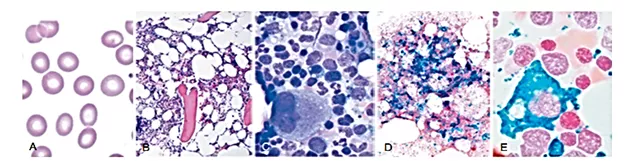
Рисунок 2. (А) Мазок периферической крови при АХЗ обычно демонстрирует нормохромную, нормоцитарная анемию. (B, C) Исследование костного мозга при АХЗ (морфологически норма) (D, E) Увеличение запасов железа с повышенным содержанием гистиоцитарного железа, но с пониженным содержанием сидеробластического железа.
Многие современные гематологические анализаторы способны рассчитывать новые индексы эритроцитов, которые могут быть полезны при оценке различных форм анемии. Два из них, содержание гемоглобина в ретикулоцитах (CHr) и процентное содержание гипохромных эритроцитов (% HYPO) могут предоставить информацию о поступлении железа в эритрон, и может быть полезным при мониторинге АХЗ. CHr является мерой гемоглобина в последних образовавшихся эритроцитах, тогда как %HYPO указывает процент клеток с содержанием гемоглобина <280 г / л. Первый дает относительно оценку (48 ч) недавней активности костного мозга, тогда как второй дает усредненную по времени картину (20–120 дней) (Goodnough et al, 2010). Схожие показатели могут быть получены анализатором Sysmex XE-2100 (Sysmex, Mundelein, IL, USA), который выводит RET-Y (эквивалент CHr) и RBC-Y (эквивалент HYPO%). Было показано, что CHr является полезным инструментом для выявления раннего дефицита железа, а также для мониторинга раннего ответа на терапию железосодержащими препаратами.
Центральная роль, которую играет гепсидин в патогенезе АХЗ, предполагает, что измерение уровня гепсидина может быть полезным диагностическим инструментом для диагностики данной патологии. Повышенные уровни гепсидина в сыворотке были обнаружены при различных воспалительных патологиях, включая ревматологические заболевания, воспалительные заболевания кишечника, инфекции, множественную миелому, неходжкинскую лимфому и т.д. Однако уровень гепсидина может не повышаться у пациентов АХЗ с сопутствующей ЖДА, поскольку вызванное воспалением увеличение выработки гепсидина будет противодействовать эффектам дефицита железа. долгосрочные эффекты гепсидина могут вызывать дефицит железа в результате снижения всасывания железа в кишечнике, поэтому необходимо тщательно оценивать использование уровней гепсидина для диагностики АХЗ. Таким образом, исследование гепсидина информативно при дифференциальной диагностике пациентов с АХЗ от пациентов с комбинированной АХЗ и ЖДА.
Ростовой фактор дифференцировки 15 (GDF15) является производным от эритропоэза гормоном, который заметно повышен при β-талассемии и врожденной дизеритропоэтической анемии и ингибирует экспрессию гепсидина, способствуя перегрузке железом, наблюдаемой при этих анемиях. Уровни GDF15 были изучены у пациентов с АХЗ, АХЗ/ЖДА и ЖДА. Субъекты как с АХЗ, так и с АХЗ/ЖДА показали значительно более высокие уровни GDF15, чем пациенты с ЖДА, и концентрации GDF15 коррелировали с интерлейкином-1β, что позволяет предположить, что воспаление индуцирует экспрессию GDF15.
В настоящее время нет единых лабораторных критериев АХЗ, и поэтому необходимо оценить несколько лабораторных параметров при постановке диагноза (Таблица1).
Таблица 1. Лабораторные параметры для дифференциальной диагностики АХЗ, ЖДА
|
Лабораторые параметры |
Нет анемии |
ЖДА |
АХЗ |
ЖДА/АХЗ |
|---|---|---|---|---|
|
Гемоглобин |
Норма |
Низкий |
Низкий | Низкий |
|
Маркеры воспаления |
Отрицат. |
Отрицат. |
Повышен. |
Повышен. |
|
Ферритин |
Низкий |
Низкий |
Норма/повышен. |
Норма |
|
Насыщение трасферрина железом |
Низкий |
Низкий |
Низкий |
Низкий |
|
Коэффициент рецептора трансферрина/ферритин |
Норма |
Значительно повышен |
Очень низкий |
Повышен |
|
Гепсидин |
Низкий |
Низкий |
Повышен. |
Норма |
|
GDF15 |
Норма |
Норма |
Повышен. |
Повышен. |
Референсные значения:
- ≤ 1,09
Интерпретация:
-
Нормальные показатели растворимого рецептора трансферрина/ферритин (sTfR/log ферритина) в сыворотке крови с высокой долей вероятности исключают состояния, сопровождающиеся нарушением эритропоэтической активности костного мозга (гемолитическая анемия, талассемия, полицитемия), а также наличие железодефицитной анемии и железодефицит (сидеропенический синдром). При анемиях хронических заболеваний индекс остается в пределах нормальных значений. Нормальные показатели индекса отмечаются также у пациентов с хронической почечной недостаточностью, апластической анемией или посттрансплантационной анемией, что свидетельствует о подавлении функции костного мозга.
-
Повышенный показатель индекса растворимого рецептора трансферрина/ферритин (sTfR/log ферритина) наблюдаться при гиперпластическом эритропоэзе (гемолитическая анемия, талассемия, полицитемия), а также на фоне железодефицита и железодефицитной анемии. Увеличение индекса также отмечается на фоне эффективного лечения эритропоэтином. Повышенные уровни индекса могут свидетельствовать о наличии скрытого (латентного) железодефицита у лиц с хроническим воспалением.
1) Будкова А.И., Лапин С.В., Павлович Д., Богданов А.Н., Щербак С.Г. Диагностика дефицита железа при анемии хронического воспаления. Лабораторная служба. 2022;11(1):16–21.
2) Сахин В.Т., Маджанова Е.Р., Крюков Е.В., Казаков С.П., & Рукавицын О.А. (2018). Анемия хронических заболеваний: особенности патогенеза и возможности терапевтической коррекции (обзор литературы и результаты собственных исследований). Онкогематология, 13 (1), 45-53.
3) Shin DH, Kim HS, Park MJ, Suh IB, Shin KS. Utility of Access Soluble Transferrin Receptor (sTfR) and sTfR/log Ferritin Index in Diagnosing Iron Deficiency Anemia. Ann Clin Lab Sci. 2015 Summer;45(4):396-402. PMID: 26275690.
4) Vázquez-López MA, López-Ruzafa E, Ibáñez-Alcalde M, Martín-González M, Bonillo-Perales A, Lendínez-Molinos F. The usefulness of reticulocyte haemoglobin content, serum transferrin receptor and the sTfR-ferritin index to identify iron deficiency in healthy children aged 1-16 years. Eur J Pediatr. 2019 Jan;178(1):41-49. doi: 10.1007/s00431-018-3257-0
5) Сафарова К.Н., Дорогойкина К.Д., Федотов Э.А., Ребров А.П. Растворимые рецепторы трансферрина и ферритиновый индекс в диагностике железодефицита у пациентов со спондилоартритами и анемией. Терапевтический архив. 2021; 93 (5): 594–598. DOI: 10.26442/00403660.2021.05.200870