Болезнь Шарко-Мари-Тута. Патогенез, клиническая картина, диагностика
Определение и эпидемиология
Болезнь Шарко-Мари-Тута (БШМТ, наследственная моторно-сенсорная нейропатия (НМСН), невральная амиотрофия Шарко-Мари, Charcot–Marie–Tooth disease (CMT)) – генетически гетерогенная группа моногенных наследственных периферических нейропатий. На сегодняшний день известно более 70 генов, мутации в которых могут приводить к развитию БШМТ. При БШМТ наблюдается дегенерация миелиновой оболочки и (или) аксона двигательных и чувствительных нервов и спинномозговых корешков. Данное состояние характеризуется хроническим прогрессирующим течением.
БШМТ - самая распространенная наследственная невропатия (наследственная болезнь, поражающая периферическую нервную систему). Распространенность БШМТ составляет примерно 1:2500.
Для всех групп НМСН характерна триада основных клинических симптомов: 1) прогрессирующая слабость и атрофия дистальных мышц конечностей с их деформацией и изменением походки, 2) расстройства чувствительности в области атрофированных мышц, 3) гипо- или арефлексия мышц верхних и нижних конечностей
Классификация
Согласно электронейромиографическим признакам (медианная скорость проводимости двигательного нерва, MNCV), БШМТ принято разделять на:
-
демиелинизирующий тип (со снижением скорости проводимости нервного импульса, MNCV<38 м/с)
-
аксональный тип (с нормальной скоростью проводимости импульса, MNCV>38 м/с)
-
промежуточный тип (DI-CMT, с промежуточным значением скорости проводимости, MNCV между 25 и 45 м/с)
В каждой категории наследование может быть аутосомно-доминантным, аутосомно-рецессивным или Х-сцепленным.
Ниже приведена упрощённая “рабочая” классификация моторно-сенсорных полинейропатий (таблица 1), наиболее частые варианты БШМТ (таблица 2), а также развёрнутая схема с указанием клеточной локализации белков (в нейронах и шванновских клетках), мутации в генах которых вызывают БШМТ (рис 1).
Таблица 1. Современная классификация моторно-сенсорных полинейропатий [1].
Таблица 2. Наиболее частые генетические причины БШМТ и их клинические фентотипы [2].
|
Тип БШМТ и вовлечённый ген |
Характер наследования, скорость проводимости, клинические признаки |
Частота встречаемости |
|---|---|---|
|
БШМТ 1А (дупликация PMP22) |
Аутосомно-доминантный тип наследования, самый частый вариант среди всех БШМТ, самый частый вариант среди демиелинизирующих форм, MNCV 15-35 м/с для верхних конечностей |
60-70% |
|
БШМТ Х1 (мутация GJB1) |
Х-сцепленный тип наследования, промежуточная скорость проводимости, инсультоподобные эпизоды или изменения в белом веществе г/м, феномен «расщепленной руки» (асимметричная атрофия мышц кистей) |
16.7% |
|
БШМТ 1В (мутация MPZ) |
Аутосомно-доминантный тип наследования, демиелинизирующий моторный тип, синдром Ади (медленно расширяющийся зрачок, диссоциация реакций зрачка на свет и на аккомодацию) |
9.4% |
|
БШМТ 2A (мутация MFN2) |
Аутосомно-доминантный тип наследования, аксональный моторный тип, атрофия зрительного нерва |
4,4% |
Рис 1. Белки, мутации в генах которых вызывают БШМТ. Указана связь белков с различными структурами нейронов и шванновских клеток [3].
Болезнь Шарко-Мари-Тута 1А типа и наследственная нейропатия с подверженностью параличам от сдавления представляют собой аутосомно-доминантные периферические нейропатии, которые являются результатом дупликации / делеции в гене PMP22.
Болезнь Шарко-Мари-Тута 1А типа
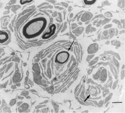
Наиболее распространенным подтипом заболевания является БШМТ 1А типа, который относится к демиелинизирующей сенсорно-моторной нейропатии и составляет около 60-70% всех случаев. В основе патогенеза данного заболевания лежит дупликация участка короткого плеча 17 хромосомы (17р11.2-12), на котором располагается ген PMP22, кодирующий периферический миелиновый белок 22 (peripheral myelin protein - PMP22). Белок PMP22 является главным компонентом миелиновой оболочки, составляет порядка 2-5% миелина в периферической нервной системе и продуцируется преимущественно Шванновскими клетками. В результате увеличения копийности гена PMP22 происходит увеличение количества данного белка. Однако известно, что концентрация PMP22 у пациентов с БШМТ 1А типа с течением времени может колебаться и достигать нормальных значений. Это может быть объяснено сменяющими друг друга периодами демиелинизации и ремиелинизации, которые имеют место при данном заболевании. В результате пролиферации Шванновских клеток образуются так называемые «луковые кольца».
Данные изменения приводят к структурным и функциональным нарушениям миелиновой оболочки, в частности, к снижению скорости проведения нервного импульса по вовлеченным периферическим моторным и чувствительным нервам.

Рис 2. БШМТ 1А. Феномен «луковых колец». Поперечный разрез аксональной части нейронов. В одном случае миелиновая оболочка аномально тонкая по сравнению с размером аксона (тонкая стрелка). В другом случае «голый» аксон окружен концентрической пролиферацией шванновских клеток (жирная стрелка). Масштабная линейка: 4 мкм [4].
Клинические проявления БШМТ 1А типа появляются, как правило, на первом-третьем десятилетии жизни.
На ранних стадиях заболевания пациенты предъявляют жалобы на слабость и подворачивание стоп, трудности при беге, прыжках. Симптоматика включает симметричную, медленно прогрессирующую дистальную мышечную слабость нижних, а затем и верхних конечностей.
Вследствие атрофических изменений в икроножных мышцах ноги имеют форму опрокинутой бутылки из-под шампанского, галифе или «ног аиста». Основной симптом – деформация стоп по типу фридрейховских, полых, эквиноварусных, деформация стоп по типу pes cavus («свисающая стопа») с высоким сводом и молоткообразной деформацией пальцев. В результате поражения разгибателей и абдукторов, стопа свисает, у всех пациентов отмечается перонеальный тип ходьбы («степпаж»). Также происходит деформацией кистей по типу «когтистой лапы».
Моторные проявления часто сочетаются со снижением болевой, температурной и вибрационной чувствительности в конечностях по типу «перчаток» и «носков». Могут быть болезненные мышечные сокращения крампи (приступообразные боли по типу кратковременных судорог в икроножных мышцах), парестезии, сенситивная атаксия. Нередки и периферические вегетативные расстройства, такие как дистальный гипергидроз, цианоз кистей и стоп. При ЭНМГ практически всегда определяется значительное снижение скорости проведения импульса по двигательным нервам нижних конечностей (10–30 м/с). Течение данного типа НМСН, как правило, медленно прогрессирующее, без глубокой инвалидизации.
Рис 3. Деформация голеней и стоп у пациентов с БШМТ [1].
![Атрофия голеней и стоп. Деформация стопы по типу Фридрейха [5] Атрофия голеней и стоп. Деформация стопы по типу Фридрейха [5]](/upload/dev2fun.imagecompress/webp/medialibrary/f77/CMT-patient_s-legs-1.webp)
Рис 4. Атрофия голеней и стоп. Деформация стопы по типу Фридрейха [5]
![Мышечная гипотрофия голеней и стоп. Деформация стопы по типу Фридрейха [5] Мышечная гипотрофия голеней и стоп. Деформация стопы по типу Фридрейха [5]](/upload/dev2fun.imagecompress/webp/medialibrary/d01/CMT-patient_s-legs-2.webp)
Рис 5. Мышечная гипотрофия голеней и стоп. Деформация стопы по типу Фридрейха [5]

Рис 6. «Ноги аиста», или по типу «перевернутой бутылки» [5]

Рис 7. Атрофия межкостных мышц, усиление сухожильного рисунка кистей. Деформация дистальных фаланг кистей по типу «когтистой лапы» [5]
Наследственная нейропатия с подверженностью параличам от сдавления (ННППС)
(ННППС) также представляет собой заболевание, в основе которого лежит мутация гена PMP22. Распространенность ННППС по разным оценкам составляет от 7 до 16 случаев на 100 000 населения, однако полученные цифры могут быть занижены в связи с гиподиагностикой данного заболевания. В отличие от БШМТ 1А типа, вызванной дупликацией гена PMP22, причиной развития ННППС является делеция в данном гене. В результате этой мутации снижается количество продуцируемого белка, что также приводит к нарушению структуры миелиновой оболочки и снижению скорости проведения нервного импульса.
PMP22 – ассоциированная ННППС является аутосомно-доминантным заболеванием.
ННППС клинически проявляется рецидивирующими транзиторными параличами и парезами, вызванными компрессией периферических нервов. Часто ННППС дебютирует с безболевой сенсорно-моторной нейропатии лишь в одном периферическом нерве, как правило, в возрасте около 20-30 лет. Основной особенностью данного заболевания является повреждение нервных волокон вследствие несоразмерно малого по силе воздействия – непродолжительного сдавления в результате опоры на локти/скрещивания ног/ношения рюкзака, незначительной травмы или стереотипной физической нагрузки. Чаще всего поражаются структуры, расположенные вблизи костных образований – малоберцовый, локтевой нервы, также частым проявлением заболевания является синдром запястного канала, вызванный компрессией срединного нерва. В пораженной области возникает онемение и чувство покалывания, вслед за которыми развивается слабость и частичная атрофия иннервируемых мышц.
Клинические проявления могут варьировать от незначительных до инвалидизирующих. В целом, фенотип заболевания во многом схож с проявлениями БШМТ и других нейропатий. Однако симптоматика может регрессировать с течением времени, более того, в 50% случаев возникает полное восстановление за период от нескольких дней до месяцев.
Лабораторная диагностика
1) В качестве первого этапа при подозрении на БШМТ/ ННППС рекомендовано выявление дупликации/делеции в гене PMP22
2) В качестве второго этапа рекомендовано выявление мутаций в восьми наиболее часто вовлечённых генах (GDAP1, GJB1, HINT1, MFN2, MPZ, PMP22, SH3CT2, SORD)
3) Если первый и второй этапы не выявили патологии, но сохраняются весомые подозрения в пользу наличия БШМТ, необходимо секвенирование всего экзома/генома. При этом важно избегать интерпретации вариантов неопределенной значимости (VUS) как причинных.
Наша лаборатория проводит диагностику БШМТ1А и ННППС на основании выявлении дупликации/делеции в гене PMP22 (наиболее частая форм патологии). Исследование проводится методом ПЦР или фрагментным анализом:
Тест 01.02.15.765. Детекция дупликации/делеции гена РМP22 при болезни Шарко-Мари-Тута 1А и наследственной нейропатии с подверженностью параличу от сдавления
Интерпретация:
- Дупликация гена PMP22 (наличие трех копий гена) подтверждает диагноз болезни Шарко-Мари-Тута 1А типа.
- Делеция гена PMP22 (наличие одной копии PMP22) подтверждает диагноз наследственной нейропатии с подверженностью параличам от сдавления.
Отсутствие изменений копийности гена PMP22 не исключает диагноза Шарко-Мари-Тута и наследственной нейропатии с подверженностью параличу сдавления, поскольку данные заболевания являются гетерогенными, и патогенная мутация может быть обнаружена при дальнейшем исследовании.
1) Баранцевич Е.Р., Яковлев А.А., Смочилин А.Г., Федорова В.С. Наследственная моторно-сенсорная полинейропатия Шарко-Мари-Тутса. Описание семейного случая (04.02.2019 г.). Клинические разборы кафедры неврологии и мануальной медицины ФПО. Сайт ПСПБГМУ им. акад. И.П.Павлова
2) Morena J, Gupta A, Hoyle JC. Charcot-Marie-Tooth: From Molecules to Therapy. Int J Mol Sci. 2019 Jul 12;20(14):3419. doi: 10.3390/ijms20143419
3) Jerath NU, Shy ME. Hereditary motor and sensory neuropathies: Understanding molecular pathogenesis could lead to future treatment strategies. Biochim Biophys Acta. 2015 Apr;1852(4):667-78. doi: 10.1016/j.bbadis.2014.07.031
4) Vallat JM. Dominantly inherited peripheral neuropathies. J Neuropathol Exp Neurol. 2003 Jul;62(7):699-714. doi: 10.1093/jnen/62.7.699
5) Федорова В.С., Смочилин А.Г., Куляхтин А.И. и соавт. Болезнь Шарко - Мари - Тутса: описание двух клинических случаев заболевания у членов одной семьи (отца и дочери). Учёные записки Первого Санкт-Петербургского государственного медицинского университета имени академика И. П. Павлова. 2020;27(2):63-71. https://doi.org/10.24884/1607-4181-2020-27-2-63-71
6) van Paassen BW, van der Kooi AJ, van Spaendonck-Zwarts KY, Verhamme C, Baas F, de Visser M. PMP22 related neuropathies: Charcot-Marie-Tooth disease type 1A and Hereditary Neuropathy with liability to Pressure Palsies. Orphanet J Rare Dis. 2014 Mar 19;9:38. doi: 10.1186/1750-1172-9-38