Кристаллические артропатии, обзор
Определение и классификация
Кристаллические артропатии (микрокристаллические артриты) – неинфекционные воспалительные метаболические поражения суставов, при которых происходит выпадение кристаллов различного химического состава в синовиальную жидкость с их отложением в суставных и околосуставных тканях, что приводит к развитию реактивного воспаления.
В эту группу входят следующие заболевания [1,2]:
-
Подагра – отложение кристаллов солей мочевой кислоты (моноурата натрия);
-
Кальций-пирофосфатная артропатия (болезнь отложения кристаллов пирофосфата кальция дигидрата, кальций-пирофосфатный артрит, хондрокальциноз, псевдоподагра)
-
Гидроксиапатитная артропатия (болезнь отложения кристаллов основного фосфата кальция, кальцифицирующий периартрит)
-
Болезнь отложения кристаллов оксалата кальция
Кальций-пирофосфатная артропатия
Синонимы: болезнь отложения кристаллов пирофосфата кальция дигидрата, острый кальций-пирофосфатный артрит, хондрокальциноз, псевдоподагра
Отложение ПФК происходит почти исключительно в суставных тканях, чаще всего в волокнистом и гиалиновом хрящах. Кальций-пирофосфатный артрит является третьим по распространённости воспалительным артритом (после ревматоидного артрита и подагры).
Вариабельность фенотипов пирофосфатной артропатии привела к созданию развёрнутой классификаций и терминов для обозначения подтипов заболевания.
Сходство некоторых случаев с подагрой породило термин «псевдоподагра». Впоследствии были обнаружены другие проявления, многие из которых имитируют другие формы артрита, вследствие чего в классификации пирофосфатной артропатии появилось множество «псевдо» синдромов [3]:
-
«псевдоподагра» (тип А)
-
«псевдоревматоидный артрит» (тип В)
-
«псевдо-остеоартрит» (с острыми приступами - тип С; без них - тип D),
-
«бессимптомный» (тип Е)
-
«псевдонейропатический» (тип F)
Эпидемиология
Идиопатическая (спорадическая) кальций-пирофосфатная артропатия редко встречается у пациентов моложе 55 лет, особенно при отсутствии в анамнезе травмы сустава или менискэктомии коленного сустава.
В крупном британском исследовании распространенность кальций-пирофосфатной артропатии коленного сустава, скорректированная по таким признакам как возраст, пол и боль в коленных суставах, составила 4,5% у пациентов старше 40 лет.
Кальцификация волокнистого хряща коленного мениска была обнаружена примерно у 15% людей в возрасте от 80 до 89 лет и примерно у 30% старше 89 лет.
Признанными факторами риска являются старение, остеоартрит (ОА), травма суставов в анамнезе, нарушение обмена веществ и семейная предрасположенность.
Распространенность пирофосфатной артропатии увеличивается в развитых странах, вследствие увеличения продолжительности жизни и ятрогенных факторов, способствующих гипомагниемии. К этим факторам относятся использование петлевых диуретиков, ингибиторов протонной помпы, ингибиторов кальциневрина (циклоспорин, такролимус), а также увеличение случаев послеоперационного “синдрома короткой кишки”. Риск острой эпизодической пирофосфатной артропатии повышен у лиц, принимающих петлевые диуретики, а также при гиперпаратиреозе и терминальной стадии почечной недостаточности.
Пол и ожирение не являются факторами риска
Причина развития кальций-пирофосфатного артрита неизвестна. Пирофосфатный артрит часто ассоциируется с другими состояниями, такими как травмы и хирургические вмешательства, гипомагниемия, гиперпаратиреоз, подагра, гемохроматоз, гипофосфатазия, синдром Гительмана, Х-сцепленный гипофосфатемический рахит, семейная гипокальциурическая гиперкальциемия и пожилой возраст [4].
Подавляющее большинство кальций-пирофосфатных артропатий является идиопатическим/спорадическим, но также имеет место семейное заболевание с ранним началом. Аутосомно-доминантная форма заболевания связана с мутациями в ANKH, переносчике неорганического пирофосфата [5].
Гемохроматоз и гиперпаратиреоз характеризуется повышенным уровнем кальция пирофосфата. Приступы псевдоподагры могут быть первой манифестацией этих заболеваний.
Патогенез
Нарушение регуляции метаболизма неорганического пирофосфата (PPi), тесно связанное с нарушением дифференцировки хондроцитов и изменением состава экстрацеллюлярного матрикса и занимает центральное место в патогенезе болезни отложения кристаллов дигидрата пирофосфата кальция.
Активация NLRP3-инфламосом с и последующей активацией каспазы-1, а также процессинг и секреция интерлейкина (IL)-1β вызывают воспалительную реакцию на кристаллы кальция пирофосфата дигидрата.

Рис 1. Сравнительная характеристика образования кристаллов моноурата натрия (MSU) и пирофосфата кальция дигидрата (CPPD) в суставах [6].
A. Кристаллы моноурата натрия образуются в синовиальной жидкости. Могут полностью растворяются при остром подагрическом воспалении. Осаждение кристаллов моноурата натрия может вызывать воспаление. В этих случаях кристаллы откладываются на суставном хряще, секвестрированные протеогликаном. Накопление кристаллов моноурата натрия приводит к некрозу и эрозии хряща с образованием тофусов внутри хряща. Кроме того, кристаллы собираются в синовиальных углублениях, где они отграничиваются хроническим воспалением и фиброзом. Такие отложения приводят к субартикулярным эрозиям.
B. Напротив, кристаллы пирофосфата кальция дигидрата образуются в матрице гиалинового и волокнистого хряща. Впоследствии выделяются в синовиальное пространство, что приводит к острому воспалению. Кроме того, кристаллы пирофосфата кальция дигидрата могут собираться в синовиальном углублении, а затем внедряться в синовиальную оболочку. При хондроидной метаплазии синовиальных фибробластов также может происходить отложение кристаллов CPPD de novo в синовиальной оболочке
Симптомы кальций- пирофосфатного артрита
Может развиться острый, подострый или хронический артрит, обычно поражающий коленные, запястные или другие крупные периферические суставы. Болезнь отложения кристаллов кальция пирофосфата может имитировать многие другие формы артрита. Острые вспышки похожи на таковые при подагре, но их интенсивность вариабельна, они более затяжные и часто более трудны для лечения. Между приступами могут полностью отсутствовать симптомы артрита, или продолжаться слабовыраженные симптомы со стороны многих суставов, аналогичные симптомам при ревматоидном артрите или остеоартрите. Болезнь имеет тенденцию к хроническому течению.
Хондрокальциноз
Отложение кристаллов кальция пирофосфата дигидрата в гиалиновом и волокнистом хряще (межпозвонковые диски, симфиз, мениски коленных суставов) приводит к хондрокальцинозу. Реже отложение происходит в сухожилиях, связках, синовиальных оболочках и суставных капсулах. Наиболее часто поражается коленный сустав (гиалиновый хрящ, мениски), следующий по частоте – запястный сустав (трехгранный волокнистый хрящ).
Клинические варианты кальций-пирофосфатного артрита [2, 5]:
Псевдоподагра (тип А). Рецидивирующий острый воспалительный моноартрит (чаще всего коленного, локтевого, лучезапястного сустава) или олигоартрит. Может быть спровоцирован травмой, сопутствующими заболеваниями или оперативным вмешательством, иногда - внутрисуставным введением гиалуроновой кислоты. Первый плюснефаланговый сустав практически никогда не поражается. Приступы псевдоподагры типичны для женщин. Необходимо помнить, что возможно одновременное сочетание подагры и псевдоподагры, а также наличие инфекции в суставе.
Псевдоревматоидный артрит (тип В). Синовит суставов кистей, хронический симметричный воспалительный полиартрит. Примерно в 5 % случаев поражаются 2-3 пястно-фаланговые суставы кистей с тенденцией к симметричности. Также вовлекаются локтевые, лучезапястные, коленные суставы. Отмечается боль, отек, скованность непродолжительные, приступообразного характера со склонностью к спонтанному купированию. При рентгенографии костных эрозий нет, выявляются признаки хондрокальциноза. Имеется сходство симптоматики с ревматоидным артритом, но при этом нет лабораторных признаков РА.
Псевдоостеоартрит с острыми атаками (тип С) – самая частая клиническая форма (наблюдается примерно у 50 % больных). Чаще выявляются у женщин пожилого возраста. Поражается преимущественно коленный сустав, иногда – тазобедренный сустав. Также вовлекаются суставы, не типичные для первичного остеоартрита – лучезапястные, запястные, пястно-фаланговые, локтевые и плечевые. Возможна отечность суставов, утренняя скованность, боли при движении, ограничение объема движений. Рентгенологически в пораженных суставах выявляются признаки хондрокальциноза.
Псевдоанкилозирующий спондилит (тип D). Это вариант с преимущественным поражением позвоночника со стойким болевым синдромом и скованностью. Кристаллы пирофосфата кальция откладываются в межпозвонковых дисках, суставном хряще, синовиальной оболочке, в желтых связках, межостистых сумках и крестцово-подвздошных сочленениях. На рентгенограммах выявляются неспецифические изменения в виде уменьшения высоты межпозвонковых дисков, склероз субхондральных отделов позвонков, остеофиты. Встречается отложение кристаллов пирофосфата вокруг зубовидного отростка (в поперечной связке атланта и крыловидных связках) и в передней атлантозатылочной связке, так называемая «коронка» или «подкова». Также возможна деструкция зубовидного отростка со смещением назад и развитием миелопатии вследствие отложения пирофосфата кальция внутри атлантоосевого сустава.
Заболевания центральной нервной системы, осложняющие поражение желтой связки или поперечной связки атланта: стеноз цервикального канала, цервикальная миелопатия, менингизм, синдром большого затылочного отверстия, перелом зубовидного отростка.
Бессимптомный вариант (тип Е). Бессимптомный хондрокальциноз наиболее часто обнаруживают в коленных, пястнофаланговых суставах, тазобедренном суставе, запястье, фиброзном кольце межпозвоночных дисков, лобковом симфизе, позвоночнике. Случайное обнаружение хондрокальциноза на обычных рентгенограммах или других изображениях не означает, что пациент должен лечиться от артрита, вызванного депонированием кристаллов ПФК.
Псевдонейротрофический вариант (тип F). Тяжелая деструкция суставов и нейропатия. Иногда отложение пирофосфатов приводит к быстрой деструкции суставов, что сопровождается болью, деформацией и нарушением функции. В отличие от артропатии при неврологических заболеваниях (сирингомиелии и др.) нарушений чувствительности нет.
Другие варианты кальций-пирофосфатной артропатии: отложение кристаллов пирофосфата в виде псевдотофусов
Любой острый моно-, олиго-или полиартрит с дебютом после 55 лет подозрителен на пирофосфатную артропатию.
Пирофосфатную артропатию необходимо исключать прежде всего:
-
у пациентов с симптомами, напоминающими серонегативный РА, впервые появившимися после 55 лет,
-
у пациента с клиникой остеоартрита в атипичных суставах (локтевых, плечевых, лучезапястных, пястно-фаланговых),
-
при наличии симптомов ревматической полимиалгии.
Диагностика кальций-пирофосфатного артрита
Исследование синовиальной жидкости
Диагноз кальций-пирофосфатной артропатии устанавливается путем обнаружения ромбовидных или палочкообразных кристаллов в синовиальной жидкости, которые не обладают двойным лучепреломлением или обладают слабоположительным двойным лучепреломлением при микроскопии в поляризованном свете. Синовиальная жидкость при острых приступах имеет типичные признаки воспаления, поэтому схожие по симптоматике инфекционный артрит и подагра также должны быть исключены. Инфекционный артрит исключают с помощью окрашивания по Граму и посева. Подагру необходимо исключать по отсутствию уратных кристаллов в синовиальной жидкости пораженного сустава. Следует отметить, что пациент может страдать одновременно подагрой и кальций-пирофосфатным артритом [19].
Таблица 1. Микроскопическое исследование кристаллов в суставах [7]
|
Тип кристаллов |
Двойное лучепреломление |
Элонгация* |
Форма |
Длина (мкм) |
|---|---|---|---|---|
|
Моноурат натрия |
Устойчивое |
Негативная |
Игольчатая или палочковидная |
2–15 |
|
Пирофосфата кальция дигидрат |
Слабое / отсутствует |
Положительная |
Ромбовидная или палочковидная |
2–15 |
|
Оксалат кальция (редко) ** |
Слабое или сильное |
Положительная или промежуточная |
Бипирамидальная |
5–30 |
|
Основной фосфат кальция |
Отсутствует |
— |
Монетообразная или несколько неправильная форма (часто слишком мелкие) |
3-65 (агрегаты) |
|
* Удлинение достигается путем установки дополнительной красной пластины или компенсатора между двумя поляризационными пластинами в микроскопе и выравнивания кристалла с ориентирующей стрелкой, обозначающей ось медленной вибрации. Кристаллы, характеризующиеся негативной элонгацией, имеют желтую окраску при расположении кристалла параллельно оси медленной вибрации обозначенной на компенсаторе; при позитивной элонгации отмечается голубое окрашивание. |
||||
|
** Эти кристаллы выявляются преимущественно у пациентов с почечной недостаточностью. |
||||
Рис 2. Кристаллы ПФК в синовиальной жидкости в поляризованном свете. Красная стрелка в правом верхнем углу указывает на ось красного компенсатора. Кристаллы ПФК с положительным двойным лучепреломлением выглядят голубыми, когда они параллельны оптической оси компенсатора, и желтыми – когда перпендикулярны ей [4].
Рентгенологические изменения при кальций-пирофосфатной артропатии [2]:
-
Рентгенологически выявляется кальцификация суставного хряща («двойной контур», расположенный параллельно суставной поверхности)
-
Кальцинаты, как правило, двусторонние
-
Кальцификация менисков, лобкового симфиза
-
Очаговые кальцификаты в области синовиальной оболочки и капсулы, кальцификация фиброзных колец межпозвонковых дисков
-
Признаки остеоартроза (особенно кисть)
-
Эрозивный процесс чаще затрагивает кистевые суставы, плечевой и плюснефаланговые суставы
-
В отличие от ОА коленных суставов при пирофосфатной артропатии поражаются преимущественно латеральные отделы сустава, а также развивается вариант с изолированным патело-феморальным артрозом с выраженными остеофитами.
-
Также типично формирование субхондральных кист, прогрессирующей дегенерации с субхондральным костным коллапсом и фрагментацией с формированием внутрисуставных рентгенконтрастных телец («суставных мышей»).
Рис 3. Кальций-пирофосфатный артрит локтевого сустава. Отложения кристаллов пирофосфата кальция дигидрата выглядят как рентгеноконтрастные образования с разной плотностью (красные стрелки) [4].
Диагностические критерии кальций-пирофосфатной артропатии [5]:
1) Обнаружение кристаллов пирофосфата кальция в тканях или синовиальной жидкости пораженного сустава “с помощью определяющих методов” (таких как характерная рентгенологическая картина “порошковой дифракции”)
2А) Обнаружение в синовиальной жидкости моно-или триклинных кристаллов, демонстрирующих слабое двойное лучепреломление (или отсутствие двойного лучепреломления) при поляризационной микроскопии.
2В) Наличие типичного хондрокальциноза на рентгенограммах (точечные и линейные кальцинаты в волокнистых и гиалиновых хрящах и суставных капсулах, особенно если эти изменения симметричны).
2С) Наличие типичных признаков отложения кристаллов ПФК в суставном гиалиновом хряще или волокнистом хряще с помощью УЗИ.
3А) Острый артрит коленных, лучезапясных или других крупных суставов.
3В) Хронический артрит с поражением коленных, тазобедренных, лучезапястных, запястных, локтевых, плечевых или пясно-фаланговых суставов с острыми атаками.
Точный диагноз: должен присутствовать критерий 1 или 2А
Вероятный диагноз: 2А или 2В или 2С
Предположительный диагноз: 3А или 3В
Прогноз при кальций-пирофосфатном артрите
Возможно развитие хронического артрита и выраженной дегенеративной артропатии, сходной с нейрогенной артропатией Шарко. В отличие от подагры, хронический ПФК-артрит является сложной задачей для лечения, поскольку не существует терапии, которая эффективно устраняла или уменьшала бы отложение кристаллов ПФК. Пациенты, особенно молодые, которые имеют частые вспышки ПФК-артрита, должны быть обследованы на основные триггеры и ассоциированные заболевания.
Болезнь отложения кристаллов основного фосфата кальция
Синонимы: гидроксиапатитная артропатия, кальцифицирующий периартрит
Кальций-гидроксиапатитная артропатия может носить первичный (с неустановленной причиной) и вторичный характер. В последнем случае болезнь развивается на фоне хронической почечной недостаточности, заболеваний соединительной ткани, после травматических повреждений. Обызвествление некоторых опухолевых образований также связано с отложением гидроксиапатита. Особенно типично поражение плечевого сустава (так называемое «милуокское плечо»), более характерное для женщин старше 60 лет [8].
Для гидроксиапатитой артропатии характерно отложение солей в околосуставных тканях (преимущественно в сухожилиях, в том числе мышц бедра и ягодичной мышцы), внутренней оболочке сустава, капсулах и сумках, сочетающееся с болевым синдромом. Чаще всего страдает плечевой сустав, реже — бедренный вертел, локти, запястья, колени. Заболевание также может развиваться в суставах стоп и кистей и поясничном отделе позвоночника. Болезнь может протекать как остро, так и хронически. Помимо болей отмечается отек мягких тканей и нарушение суставной подвижности. В редких случаях болезнь не имеет симптомов. При длительном течении синдром плеча Милуоки может осложняться разрушением хряща, суставных поверхностей костей, разрывом сухожилий.
Большинство патологических кальцинатов содержит смесь карбонатзамещенного гидроксилапатита и октакальция фосфата. Поскольку эти ультрамикроскопические кристаллы являются некислыми фосфатами кальция, обозначение их термином основной фосфат кальция (ОФК) предпочтительнее, чем термином апатит. Кристаллы ОФК могут разрушать суставы и вызывать тяжелое внутрисуставное или периартикулярное воспаление.
Одним из примеров является плечевой/коленный синдром Милуоки – хроническая деструктивная артропатия, проявляющаяся преимущественно у женщин старшего возраста, которая обычно развивается в плечевых и часто в коленных суставах.
Синдром Милуоки [2]:
-
Аппатит-ассоциированная артропатия плечевого сустава характеризуется выраженным дегенеративным артритом плечевого сустава с потерей функции вращательной манжеты плеча, обусловленным отложением кристаллов фосфата кальция.
-
Синдром чаще встречается у женщин старше 70 лет.
-
Характерно двустороннее поражение с преобладанием доминантной руки.
-
Возможна острая боль и значительный выпот в суставе. В синовиальной жидкости цитоз низкий, преобладают мононуклеары.
-
При осмотре выявляется выявляется смещение головки плечевой кости вверх, что является признаком повреждения вращательной манжеты плеча.
-
Лечение может быть малоэффективно. Важна ЛФК. ГКС вводится с осторожностью. Возможно хирургическое лечение при наличии крупных кальцинатов.
Рис 4. Плечо Милуоки [2]
Специфические тесты для выявления кристаллов основного фосфата кальция в синовиальной жидкости отсутствуют. Скопления кристаллов обычно можно идентифицировать только при окрашивании специальными кальций-чувствительными красителями или при трансмиссионной электронной микроскопии. Скопления кристаллов не обладают двойным лучепреломлением в поляризованном свете [8].
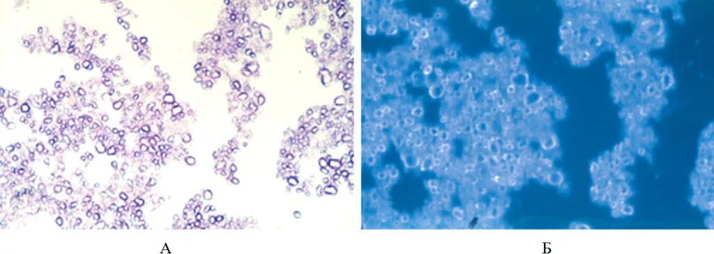
Фото 21А. Микроскопия синовиальной жидкости при гидроксиапатитном артрите. Кристаллы имеют неправильную форму, но приблизительно сферический профиль. (Неокрашенный препарат, увеличение ×250) [5]
Фото 21Б. Микроскопия той же синовиальной жидкости в поляризованном свете. Важно отметить, что агрегированные частицы основных кристаллов фосфата кальция демонстрируют краевое лучепреломление, но не проявляют интрузивного лучепреломления. (Неокрашенный препарат × 250) [5]
Болезнь отложения кристаллов кальция оксалата
Оксалатная артропатия встречается очень редко, чаще всего возникает у больных с азотемией, находящихся на гемодиализе или перитонеальном диализе, особенно у тех из них, кто одновременно получает аскорбиновую кислоту (витамин С), которая метаболизируется до оксалата. Однако усовершенствование растворов для обменного диализа привело к фактическому исчезновению этого заболевания.
Кристаллы могут откладываться не только в суставах, но и в стенках кровеносных сосудов и коже. Эти кристаллы имеют бипирамидальную структуру и обладают двойным лучепреломлением. При рентгенографии кристаллы оксалата кальция неотличимы от периартикулярных кальцификатов или отложений кристаллов пирофосфата кальция дигидрата в хрящах [8].
Литература
1) Обзор кристаллических артритов MSD Manual
2) Беляева Е.А. Микрокристаллические артриты. http://www.medtsu.tula.ru/uml/rb/04.pdf2-
3) Zhang W, Doherty M, Bardin T, Barskova V, Guerne PA, Jansen TL, Leeb BF, Perez-Ruiz F, Pimentao J, Punzi L, Richette P, Sivera F, Uhlig T, Watt I, Pascual E. European League Against Rheumatism recommendations for calcium pyrophosphate deposition. Part I: terminology and diagnosis. Ann Rheum Dis. 2011 Apr;70(4):563-70. doi: 10.1136/ard.2010.139105
4) Кальций-пирофосфатный артрит. MSD Manual
5) Robert Terkeltaub, Chapter 96 - Calcium Crystal Disease: Calcium Pyrophosphate Dihydrate and Basic Calcium Phosphate, Editor(s): Gary S. Firestein, Ralph C. Budd, Sherine E. Gabriel, Iain B. McInnes, James R. O'Dell, Kelley and Firestein's Textbook of Rheumatology (Tenth Edition), Elsevier, 2017, Pages 1645-1665.e4, ISBN 9780323316965, https://doi.org/10.1016/B978-0-323-31696-5.00096-6.
6) Kenneth P.H. Pritzker, Chapter 1 - Articular Pathology of Gout, Calcium Pyrophosphate Dihydrate and Basic Calcium Phosphate Crystal Deposition Arthropathies, Editor(s): Robert Terkeltaub, Gout & Other Crystal Arthropathies, W.B. Saunders, 2012, Pages 2-19, ISBN 9781437728644, https://doi.org/10.1016/B978-1-4377-2864-4.10001-6.
7) Подагра. MSD Manual
8) Болезнь отложения кристаллов основного фосфата кальция и оксалата кальция. MSD manual