Ювенильный идиопатический артрит. Клиническая картина и диагностика
Определение
Термин “ювенильный идиопатический артрит” был впервые введён в употребление в 1995 г. International League of Associations for Rheumatology (ILAR) и к настоящему времени практически вытеснил в англоязычной литературе такие термины как “ювенильный хронический артрит” и “ювенильный ревматоидный артрит" [1]. В отечественной литературе преобладает название ювенильный хронический артрит (ЮХА).
Ювенильный идиопатический артрит (ЮИА) — артрит неустановленной причины, длительностью более 6 недель, развивающийся у детей в возрасте до 16 лет, при исключении другой патологии суставов (по классификации ILAR) [2].
ЮИА представляет собой гетерогенную группу заболеваний с различными клиническими фенотипами и различными лежащей в основе патогенетическими механизмами. Все эти механизмы приводят к общему конечному пути: воспалению и утолщению синовиальной оболочки суставов [1].
Эпидемиология: Заболеваемость ЮИА составляет по разным данным 7–400 случаев на 100,000 детского населения в возрасте до 16 лет. Средневзвешенная частота составляет 150 случаев на 100,000 детей, что делает ЮИА самым частым ревматологическим заболеванием у детей, нередко приводящим к инвалидизации [3,5].
Классификация
В настоящее время общепринятой является классификация ILAR второго пересмотра (2001) [2,4], в соответствии с которой выделяют следующие варианты заболевания:
системный ЮИА;
олигоартикулярный ЮИА;
полиартикулярный ЮИА, РФ-негативный;
полиартикулярный ЮИА, РФ-позитивный;
ювенильный псориатический артрит;
ЮИА, ассоциированный с энтезитом;
недифференцированный артрит (артрит, не отвечающий критериям какой-либо категории или отвечающий критериям двух или более представленных категорий)
В 2019 Pediatric Rheumatology International Trials Organization (PRINTO) был предложен новый “предварительный вариант” классификации ЮИА [5,7]. Согласно этой классификации выделяются следующие варианты заболевания:
системный ЮИА;
РФ-позитивный ЮИА;
ЮИА, ассоциированный с энтезитом/спондилитом;
ранний АНФ-позитивный ЮИА;
другой ЮИА (артрит, не отвечающий критериям какой-либо категории из представленных).
недифференцированный ЮИА (артрит, соответствующий критериям двух или более представленных категорий).
Таким образом, по сравнению с ILAR, в классификации PRINTO отсутствуют такие варианты как “олигоартикулярный ЮИА”, “РФ-негативный полиартикулярный ЮИА” и “ювенильный псориатический артрит”. Появилась категория “ранний АНФ-позитивный ЮИА”. Недифференцированный артрит разделён на “другой” и “недифференцированный” ЮИА. Количество поражённых суставов в классификации PRINTO не является определяющим критерием в отличии от ILAR.
Этиология и патогенез
ЮИА — мультифакторное полигенное заболевание, механизмы развития которого отличаются при разных вариантах болезни [4-6].
Факторами риска развития заболевания являются неблагоприятный экологический фон, инфекционные заболевания, вакцинация, использование антибиотиков, дефицит витамина D, стресс, травмы. К инфекционным агентам, провоцирующим развитие ЮИА относят вирус Эпштейн-Барра, вирус гепатита В, парвовисрус B, вирус краснухи, различные формы сальмонелл, шигелл, кампилобактера, пиогенный стрептококк, бартонеллу Хансели, микоплазму пневмонии, хламидию пневмонии.
Желудочно-кишечные инфекции, приводящие к нарушению нормальной микрофлоры и нарушению метаболизма триптофана повышают риск ЮИА. Курение матери во время беременности также может играть роль [5].
Для системного ЮИА (сЮИА) характерно отсутствие связи с главным комплексом гистосовместимости класса II (MHC II). При других вариантах ЮИА выявляются четкие генетические ассоциации.
Для всей популяции больных олигоартикулярным ЮИА, в частности для девочек с ранним дебютом заболевания, характерна ассоциация с HLA-2, а также с HLA-DRB1*08-DQA1*04-DQB1*04 гаплотипами, кодирующими DR8 и DQ4.
При полиартикулярном РФ-позитивном ЮИА с большой частотой выявляются HLA-DR4 (HLA-DRB1*0401*0404,0408* или *0405), DR1 (DRB1*0101) и DR14 (DRB1*1402) аллели; при артрите, ассоциированном с энтезитом (ювенильном анкилозирующем спондилоартрите) — HLA-B27.
Механизмы активации иммунного ответа при разных субтипах ЮИА также отличаются.
сЮИА в настоящее время рассматривают в большей степени не как аутоиммунное, а как аутовоспалительное заболевание. В развитии сЮИА ведущую роль играет активация врожденного иммунитета; эффекторные клетки — макрофаги и нейтрофилы, аутоантитела не выявляются. Такие внесуставные проявления, как лихорадка, сыпь, тромбоцитоз, анемия, остеопороз, а также синтез острофазовых белков (СРБ и амилоида), при системном артрите связывают с гиперпродукцией IL-6 и IL-1. Для аутовоспалительных заболеваний характерными являются повышенные концентрации IL18 и белка S100 (кальгранулина/кальпротектина) сыворотки.
При других вариантах ЮИА активируется приобретенный иммунитет; эффекторными клетками являются Т и В лимфоциты.
Ведущую роль в развитии клинических симптомов при ЮИА без системных проявлений (синовита, деструкции хрящевой и костной ткани) играет TNFα и синтез аутоантител.
Атоантитела наиболее часто выявляют при олигоартикулярном ЮИА (антинуклеарный фактор, АНФ) и полиартикулярном РФ-позитивном ЮИА (РФ класса IgM, антитела к циклическому цитруллиновому пептиду (АЦЦП)): это свидетельствует о том, что активация гуморального иммунитета является центральным звеном в патогенезе этих вариантов заболевания.
При артрите, ассоциированном с энтезитом, и псориатическом артрите продукция аутоантител не выражена, но наблюдается сильная ассоциация с HLA-B27.
В патогенезе всех вариантов ЮИА центральную роль играет активация иммунной системы, продукция провоспалительных цитокинов активированными Т-лимфоцитами и макрофагами и развитие хронического воспаления [4].
Патоморфология
Ювенильный идиопатический артрит характеризуется хроническим негнойным воспалением синовиальных оболочек. При микроскопии в пораженных синовиальных тканях обнаруживаются отек, гиперемия и инфильтрация лимфоцитами и плазматическими клетками, пролиферация кроющих синовиоцитов, неоангиоматоз. Повышенная секреция суставной жидкости приводит к образованию внутрисуставного выпота. Выпячивания утолщенной синовиальной оболочки образуют ворсины, которые выступают в полость сустава; гиперплазированная синовиальная оболочка при ЮИА распространяется по поверхности суставного хряща и с ним спаивается.Образуется паннус. По мере прогрессирования синовита развивается эрозия, и постепенно разрушается суставной хрящ, а впоследствии и костная ткань. Деструкция суставных структур чаще развивается у детей с РФ-положительной формой ЮИА и сЮИА. Процесс деструкции суставных структур может привести к эрозии костной ткани на субхондральном уровне, сужению суставного пространства (за счет потери суставного хряща), разрушению и срастанию костей, деформациям, подвывихам или анкилозу суставов. Могут возникнуть теносиновит и миозит. В зонах костей, прилегающих к пораженным суставам, могут отмечаться остеопороз, периостит, ускоренный рост эпифизов и преждевременное исчезновение эпифизарного хряща.
Морфологическим субстратом большинства клинических проявлений артрита, ассоциированного с энтезитом, служит воспалительный фиброзирующий процесс с первичной локализацией в сухожильно-связочных структурах, местах их прикрепления к кости, фиброзной части межпозвоночных дисков, синовиальной оболочке суставов с тенденцией к лимфоидной инфильтрации и гиперплазии. В илеосакральных сочленениях образуется субхондральная грануляционная ткань, хрящ замещается фиброзной, а затем и костной тканью, формируется анкилоз. При псориатическом артрите морфологические изменения в синовиальной оболочке представляют собой хронический синовит, подобный таковому при ЮИА, но с определенными особенностями. К ним относятся сосудистые нарушения, выраженное формирование вновь образуемых коллагеновых волокон в субсиновиальной ткани, что клинически проявляется склонностью к развитию фиброзных контрактур. При псориатическом артрите также отмечается формирование паннуса, но в меньшей степени, чем при ЮИА. Выраженность морфологических изменений при псориатическом процессе зависит от локализации суставного процесса и длительности болезни. Чем более выражен синовит, тем морфологически он в большей степени отличается от ЮИА. Исходом описанных изменений может быть фиброзный, а затем и костный анкилоз [4].
Таблица 1. Сравнительный анализ патогенетических механизмов различных форм ЮИА [4].
Клиническая картина и диагностика
1. Олигоартикулярный ЮИА
Определение: артрит с поражением от 1 до 4 суставов в течение первых 6 месяцев болезни.
Выделяют 2 варианта:
- персистирующий олигоартрит — поражение 1–4 суставов в течение всей болезни;
- распространившийся олигоартрит — поражение 5 и более суставов после 6 месяцев болезни.
Эпидемиология. Олигоартикулярный вариант - наиболее часто встречающийся вариант ЮИА: на его долю приходится 50% всех случаев заболевания. Развивается преимущественно у детей в возрасте от 1 года до 5 лет. Чаще болеют девочки (85%).
Диагноз олигоартикулярного ЮИА не может быть установлен при наличии:
псориаза (в т. ч. в анамнезе) у пациента или его родственников первой линии родства (родители, сибсы);
артрита, ассоциированного с HLA-B27 антигеном, у мальчиков в возрасте старше 6 лет;
анкилозирующего спондилита; артрита, ассоциированного с энтезитом; сакроилеита в сочетании с воспалительными заболеваниями кишечника; синдрома Рейтера; острого переднего увеита или одного из этих заболеваний у родственников первой линии родства;
положительного РФ класса IgM минимум в двух пробах, взятых с интервалом не менее 3 месяцев;
системного ЮИА у пациента.
Клиническая картина
Суставной синдром. Начало заболевания чаще острое. В течение первых 6 месяцев болезни типично поражение < 4 суставов. Наиболее часто в процесс вовлекаются коленные (89%) и голеностопные (36%) суставы, реже — мелкие суставы пальцев кистей и стоп (6%), локтевые, тазобедренные, лучезапястные и челюстно-височные (3%). Развивается выраженная атрофия мышц, расположенных проксимальнее сустава, вовлеченного в патологический процесс; ускоряется рост эпифизов костей пораженных суставов (фото 1).
При асимметричном гоните пораженная конечность удлиняется и формируется варусная деформация голени.

Фото 1. Симметричная выраженная припухлость и сгибательные контрактуры в коленных суставах при олигоартикулярном ЮИА. Пациент не может стоять, ходить [4].
Внесуставные проявления:
Передний увеит (ирит, передний циклит, иридоциклит) развивается у 20% больных олигоартикулярным ЮИА. Он может дебютировать за несколько лет до развития суставного синдрома. Средний возраст дебюта увеита — 2 года. Чаще болеют девочки. Его частота выше при формах заболевания, характеризующихся ранним началом. Увеит, как правило, характеризуется бессимптомным подострым или хроническим течением и диагностируется при снижении зрения и формировании катаракты.
В большинстве случаев наблюдается двусторонний увеит (фото 2 и 3). При офтальмоскопии диагностируют следующие признаки:
- изменения эндотелия роговицы в виде реакции “запотелости”, отложения на эндотелии форменных элементов;
- образование роговичных преципитатов (агрегаты воспалительных клеток, которые располагаются в нижней половине роговицы, формируя треугольник);
- лентовидная дистрофия роговицы с различной степенью кальцификации и утолщения роговицы (классический признак увеита, ассоциированного с ЮИА);
- гиперемия и отек радужки, сглаженность ее рисунка, появление экссудативно-фибринозных отложений, иногда геморрагий;
- формирование перихрусталиковых пленок в области зрачка, задних синехий, связывающих край радужки с передней поверхностью хрусталика, что приводит к изменению формы зрачка.
![]() | ![]() | ![]() |
Фото 2. Множественные эндотелиальные преципитаты на роговице при обострении увеита [4]. Фото 3. Изменение формы зрачка (1), задние синехии (2), стушеванность рисунка радужной оболочки (3) при подостром течении увеита [4]. Фото 4. Хронический передний увеит с задними синехиями и отсутствием значительного воспаления склеры [3].
Лабораторная диагностика
Диагностика олигоартикулярной формы ювенильного артрита основана на определении антинуклеарного фактора (АНФ). Антинуклеарный фактор отмечается приблизительно у 80% пациентов, чаще девочек. Обычно АНФ с гранулярным типом свечения, отмечается в невысоких титрах 1/320-1/1280. Особенностью обнаружения антинуклеарного фактора при ЮИА является то, что не удается установить мишень антинуклеарных антител. Редко отмечаются антинуклеарные антитела к антигену SSA 52 кДа, но у большинства пациенток не выявляются антитела типичные для системных ревматических заболеваний, такие как антитела к дсДНК, рибонуклеопротеинам или другим ядерным антигенам. Следует отметить, что у пациенток серопозитивных по АНФ повышен риск увеита.
Общий анализ крови: гематологические показатели могут быть нормальными, в ряде случаев выявляется умеренная гипохромная анемия и повышение СОЭ. возможно повышение СРБ,
Течение и прогноз. Приблизительно у 40% пациентов развивается ремиссия. Более чем у 50% пациентов сохраняется активность болезни, у 40% из них олигоартрит трансформируется в полиартрит, но число пораженных суставов меньше, чем при полиартрите в дебюте заболевания. При длительном течении болезни после клинической ремиссии может развиться остеоартрит. Смертность очень низкая. У 10% больных с увеитом развивается слепота.
Факторы неблагоприятного прогноза - наличие хотя бы одного критерия Американской коллегии ревматологов, 2011:
Поражение тазобедренных суставов или шейного отдела позвоночника.
- Поражение голеностопного или лучезапястного сустава и значительное или продолжительное повышение лабораторных показателей.
Деструкция суставов по данным радиологического обследования (эрозии суставных поверхностей или сужение межсуставных щелей).
Осложнения: локальное нарушение роста конечностей, контрактуры суставов.
2. Полиартикулярный ЮИА, РФ-негативный
Определение: артрит с поражением > 5 суставов в течение первых 6 месяцев болезни, тест на ревматоидный фактор (РФ) отрицательный.
Эпидемиология: на долю полиартикулярного ЮИА РФ-негативного приходится менее 20–30% всех случаев ЮИА. Развивается у детей в возрасте от 1 года до 15 лет. Чаще болеют девочки (90%).
Диагноз полиартикулярного ЮИА «РФ-негативного» является диагнозом исключения, поэтому следует исключить следующие причины:
- псориаза (в т. ч. в анамнезе) у пациента или его родственников первой линии родства (родители, сибсы);
- артрита, ассоциированного с HLA-B27, у мальчиков в возрасте старше 6 лет;
- анкилозирующего спондилита; артрита, ассоциированного с энтезитом; сакроилеита в сочетании с воспалительными заболеваниями кишечника; синдрома Рейтера; острого переднего увеита или одного из перечисленных заболеваний у родственников первой линии родства;
- положительного РФ класса IgM минимум в 2 пробах, взятых с интервалом не менее 3 месяцев;
- системного ЮИА у пациента.
Суставной синдром
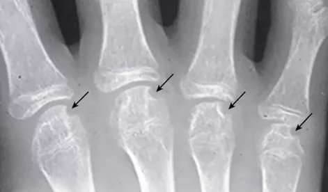
Дебют болезни может быть острым, но у большинства пациентов протекает с постепенным вовлечением в процесс новых суставов. Утренняя скованность и скованность в движениях после состояния покоя могут наблюдаться несколько часов или в течение всего дня. Суставы опухают, могут быть теплыми на ощупь, цвет кожи над суставами не изменяется. Поражаются преимущественно коленные, лучезапястные и голеностопные суставы. Мелкие суставы рук и ног могут вовлекаться в процесс как на ранних, так и на поздних стадиях болезни. Наиболее часто поражаются II и III пястно-фаланговые и проксимальные межфаланговые суставы (фото 5). Часто вовлекаются в процесс челюстно-височные суставы, и формируется «птичья челюсть» (фото 6,7)
![]() | ![]() |
Фото 5. Припухлость лучезапястных, пястно-фаланговых, проксимальных межфаланговых суставов кистей при полиартикулярном ЮИА (РФ-негативном) [4]. Фото 6. Поражение челюстно-височных сочленений при полиартикулярном ЮИА (РФ-негативном) («птичья челюсть»). Пациентка демонстрирует затруднение при открывании рта [4].
![]() | ![]() |
Фото 7. Ретрогнатия у 12-летней пациентки с РФ-негативным полиартикулярным ЮИА (дебют ЮИА был в 3 года) [9]. Фото 8. Боковая рентгенограмма шейного отдела позвоночника ребенка с РФ-негативным ЮИА, показывающая костный анкилоз второго и третьего шейных позвонков [9].
Поражение шейного отдела позвоночника на ранних стадиях болезни в большинстве случаев не диагностируется, но может возникать на поздних стадиях. Число пораженных суставов больше, чем при РФ-позитивном полиартикулярном ЮИА, а характер суставного синдрома более асимметричный. У 20% больных уже в дебюте развивается коксит с нарушением функции тазобедренных суставов. У отдельных пациентов клинические симптомы воспаления в суставах и гипертрофия синовиальной оболочки отсутствуют; в них отмечаются скованность, прогрессирующие контрактуры, ассоциированные с воспалительными изменениями лабораторных показателей. Такое состояние получило название сухого синовита. Его критериями являются:
боль и скованность в суставах в течение 3 мес;
минимальные воспалительные изменения в суставах;
физикально не определяющееся утолщение синовиальной оболочки, сочетающееся со скованностью > 1 ч;
нарушение функции в суставах (с контрактурами или без них);
- улучшение функции в суставах и уменьшение выраженности симптомов заболевания на фоне лекарственной терапии.
Лабораторные исследования: Общий анализ крови: гипохромная анемия, невыраженный нейтрофильный лейкоцитоз, повышение СОЭ, повышение концентрации СРБ.
Положительный антинуклеарный фактор (АНФ) выявляется у преимущественно у детей с дебютом в раннем возрасте (в 30-40% случаев), но для заболеваниях характерно отсутствие ревматоидного фактора несмотря на определенную схожесть клинической симптоматики с ревматоидным артритом.
Инструментальные исследования: Рентгенологическое исследование. Определяется сужение суставных щелей. Через 2 года от дебюта заболевания анкилоз в суставах запястья развивается у 12% пациентов, через 6 лет — у 43%. На поздних стадиях анкилоз возникает в апофизальных суставах II и III шейных позвонков.
Течение и прогноз: течение артрита у большинства пациентов относительно доброкачественное. У 10% пациентов развиваются тяжелые деструктивные изменения, в основном в тазобедренных и челюстно-височных суставах.
Все дети с ранним дебютом полиартикулярного ЮИА РФ-негативного имеют неблагоприятный прогноз, высокий риск развития тяжелого деструктивного артрита, инвалидизации по состоянию опорно-двигательного аппарата.
Фактор неблагоприятного прогноза (АКР, 2011): поражение тазобедренных суставов.
Осложнения:
Сгибательные контрактуры в суставах;
Нарушение роста;
- Снижение остроты зрения и развитие слепоты вследствие активного течения увеита.
3. Полиартикулярный ЮИА, РФ-позитивный
Определение: артрит с поражением 5 или более суставов в течение первых 6 месяцев болезни; тест на ревматодиный фактор (РФ) — положительный в двух случаях в течение 3 месяцев.
Эпидемиология: на долю полиартикулярного ЮИА, РФ-позитивного приходится от 3 до 10% всех случаев ЮИА. Развивается у детей в возрасте от 8 до 15 лет. Чаще болеют девочки (80%).
Диагноз полиартикулярного ЮИА РФ-позитивного не может быть установлен при наличии:
псориаза (в т. ч. в анамнезе) у пациента или его родственников первой линии родства (родители, сибсы);
артрита, ассоциированного с HLA-B27 антигеном, у мальчиков в возрасте старше 6 лет;
анкилозирующего спондилита; артрита, ассоциированного с энтезитом; сакроилеита в сочетании с воспалительными заболеваниями кишечника; синдрома Рейтера; острого переднего увеита или одного из этих заболеваний у родственников первой линии родства;
- системного ЮИА у пациента
Критерии РФ-позитивного ЮИА (по классификации PRINTO) [5,7]:
артрит в течение ≥6 недель
два положительных теста на РФ с разницей как минимум в 3 недели
один положительный тест на АЦЦП
Количество поражённых суставов в классификации PRINTO не является определяющим критерием в отличии от ILAR
Дебют заболевания может быть острым, но, как правило, — постепенный с вовлечением в процесс новых суставов. Развивается симметричный полиартрит с поражением крупных и мелких суставов конечностей. В первую очередь поражаются межфаланговые, метакарпофаланговые и проксимальные межфаланговые суставы кистей, плюснефаланговые и межфаланговые суставы стоп. В процесс также вовлекаются шейный отдел позвоночника и челюстно-височные суставы. В отличие от пациентов с полиартикулярным РФ-негативным ЮИА «птичья челюсть» формируется редко в связи с более поздним (по возрасту) дебютом заболевания. Наиболее быстро ограничение функции развивается в лучезапястных суставах с формированием деформаций. Деформации включают ульнарную девиацию запястья и метакарпо-фаланговых суставов, изменение суставов по типу «бутоньерки» и «шеи лебедя». Деформации также развиваются в суставах ног и включают hallux valgus, молотообразное искривление пальцев и др. (фото 9 и 10).
![]() | ![]() |
Фото 9. Деформация III пальца левой кисти по типу «шеи лебедя» при РФ-позитивном полиартикулярном ЮИА [4]. Фото 10. Деформация пальцев ног за счет развития подвывихов — фибулярная девиация при РФ-позитивном полиартикулярном ЮИА [4].
Общие проявления: слабость, потеря массы тела, редко — лихорадка.
Ревматоидные узелки — наиболее частые экстраартикулярные проявления. Они появляются у 30% пациентов на первом году болезни. Могут локализовываться дистальнее локтевого отростка (olecranon) и на других костных выступах, в области ахиллова сухожилия и других местах. Узелки плотные, подвижные, безболезненные, однако надавливание может вызвать боль. Наличие ревматоидных узелков — фактор неблагоприятного прогноза.
Лабораторные исследования:
Общий анализ крови: гипохромная анемия, невыраженный нейтрофильный лейкоцитоз, повышение СОЭ, повышение концентрации СРБ.
В целом серология полиартикулярной формы ЮИА очень схожа с серологией развернутого ревматоидного артрита у взрослых. Как и при взрослом ревматоидном артрите обычно выявляется положительный ревматоидный фактор класса IgM (60-80%), положительные антитела к циклическому цитруллиновому пептиду (АЦЦП) выявляются у 60–90%. Собственно выявление характерных ревматоидных антител и выделяет эту форму артрита от других разновидностей ЮХА. Примерно в половине случаев в крови пациентов также может отмечаться антинуклеарный фактор.
Инструментальные исследования:
Рентгенография суставов: сужение суставных щелей и эрозии кости в лучезапястных суставах, мелких суставах кистей, стоп и плечевых суставах появляются в течение первых двух лет течения болезни. В костях запястья разрушение хряща происходит в проксимальном запястном суставе и интеркарпальных суставах, что приводит к карпальному анкилозу и укорочению конечности (фото 12). Также часто развивается атланто-аксиальное переразгибание.

Фото 11. Костные эрозии у девочки с РФ-позитивным полиартикулярным ЮИА [9].

Фото 12 (А, Б). Анкилозы в костях кисти при полиартикулярном ЮИА РФ-позитивном. КТ, 3D-реконструкция: А — тыльная сторона, Б — ладонная сторона. Деформация и нарушение положения костей кисти за счет анкилоза лучезапястного (1), межзапястных (2), II запястно-пястного (3) суставов [4].
- Поражение тазобедренных суставов.
Положительный РФ или наличие АЦЦП.
Частота ремиссий наиболее низкая среди всех вариантов ЮИА и варьирует от 0 до 5%. При своевременно начатой адекватной терапии частота ремиссии составляет до 65%.
Сгибательные контрактуры в суставах.
Амилоидоз.
Сердечная и легочная недостаточность.
4. ЮИА ассоциированный с энтезитом (ювенильный анкилозирующий спондилоартрит)
Определение: артрит и энтезит (или изолированный артрит, или изолированный энтезит) в сочетании по меньшей мере с двумя из следующих признаков:
наличие или данные анамнеза о болезненности в области илео-сакральных сочленений и/или воспалительная боль в спине;
наличие HLA-B27 антигена;
начало артрита у мальчиков в возрасте старше 6 лет;
острый передний увеит;
- наличие анкилозирующего спондилита; артрита, ассоциированного с энтезитом; сакроилеита в сочетании с воспалительными заболеваниями кишечника (ВЗК); синдрома Рейтера; острого переднего увеита или одного из этих заболеваний у родственников первой линии (родители, сибсы).
Критерии ЮИА, ассоциированного с энтезитом / спондилитом (по классификации PRINTO) [5,7]:
периферический артрит или энтезит (≥6 недель) или
артрит и энтезит + сакроилеит ≥ 3 месяцев или
- артрит и энтезит + 2 из критериев:
1) болезненность в области крестцово-подвздошного сустава;
2) боль в спине воспалительной природы;
3) острый передний увеит;
4) спондилоартрит у ближайших родственников
5) HLA-B27 +
Эпидемиология. Доля артрита, ассоциированного с энтезитом, в структуре ЮИА — около 10,6%. Средний возраст дебюта артрита, ассоциированного с энтезитом, — 11,7 года. ЮАС дебютирует, как правило, в позднем детском или подростковом возрасте, чаще болеют мальчики (соотношение - 3,4:1).
Диагноз артрита, ассоциированного с энтезитом, не может быть установлен при наличии:
псориаза (в т. ч. в анамнезе) у пациента или его родственников первой линии родства;
положительного РФ класса IgM минимум в двух пробах, взятых с интервалом не менее 3 мес;
системного ЮИА
Артрит, ассоциированный с энтезитом, — заболевание, при котором поражаются преимущественно суставы нижних конечностей, а в дальнейшем — осевой скелет; отсутствуют аутоантитела (РФ и АНФ) и имеется сильная ассоциация с HLA-B27. В ряде случаев заболевание имеет сходство с анкилозирующим спондилоартритом взрослых, хотя его характерные черты редко наблюдаются в детском возрасте.
Так же как и артрит, ассоциированный с энтезитом, ювенильный анкилозирующий спондилоартрит (ЮАС) — это хронический воспалительный артрит осевого и периферического скелета, часто сочетается с энтезитом, негативный по РФ и АНФ, имеет сильную ассоциацию с HLA-B27.
В отличие от артрита, ассоциированного с энтезитом, для верификации диагноза ЮАС необходимо наличие рентгенологически подтвержденного сакроилеита.
Анкилозирующий спондилоартрит (АС) у взрослых диагностируется на основании ряда критериев. Большинство детей и подростков этим критериям не соответствуют в связи с тем, что поражение позвоночника и крестцово-подвздошных сочленений у них развивается редко. Для них были разработаны отдельные критерии диагностики.
Клиническая картина
Дебют ЮАС и артрита, ассоциированного с энтезитом, может быть постепенным (иногда острым) и характеризоваться непостоянной болью в мышцах, суставах и связках, скованностью или воспалительными изменениями преимущественно в периферических суставах. Артрит, как правило, сочетается с энтезитами в одном или более локусах: чаще всего в области коленного сустава или стопы. Заболевание может дебютировать также с изолированного поражения тазобедренного сустава. Симптомы поражения позвоночника в дебюте обычно отсутствуют, но могут появиться с течением болезни у подростков.
Суставной синдром
Энтезиты (воспалительные изменения в местах прикрепления связок, сухожилий и фасций к костям) — патогномоничный признак артрита, ассоциированного с энтезитом, позволяющий провести дифференциальный диагноз с другими вариантами ЮИА. Энтезиты типичны для ЮАС и развиваются чаще, чем при АС. Они проявляются сильной болью, выраженной функциональной недостаточностью суставов и служат наиболее серьезной жалобой ребенка.
При осмотре определяется выраженная локальная болезненность в области надколенника (на 10, 14 и 18 ч), бугристости большеберцовой кости; в месте прикрепления ахиллова сухожилия и подошвенного апоневроза к бугру пяточной кости; подошвенного апоневроза к основанию пятой метатарзальной кости; в области головок метатарзальных костей; больших трохантеров бедренных костей; верхнего переднего гребня подвздошной кости; лонного сочленения; седалищного бугра и редко в области верхних конечностей. Возможно развитие дактилита (фото 13).

Фото 13. Дактилит. «Сосискообразная» деформация III, IV пальцев левой и II, IV пальцев правой кисти, поражение III проксимального межфалангового и I пястно-фалангового суставов правой кисти при артрите, ассоциированном с энтезитом [4].
Артрит. Начальные симптомы дети локализуют плохо: они могут жаловаться на боль в ягодицах, области паха, бедрах, пятках, вокруг плечевых суставов. Боль может спонтанно проходить, что затрудняет постановку диагноза на ранних стадиях. У детей реже, чем у взрослых с АС, в дебюте болезни поражается осевой скелет: у 24% отмечаются боль, скованность или ограничение функции в пояснично-крестцовом отделе позвоночника или крестцово-подвздошных сочленениях.
Суставной синдром при артрите, ассоциированном с энтезитом, и ЮАС, как правило, асимметричный.
Периферические суставы поражаются у 82% больных, суставы верхних конечностей — у 16%, дистальные суставы поражаются чаще, чем проксимальные. У 75% развивается олигоартрит, у 25% — полиартрит. Характерно вовлечение в процесс одного или обоих коленных суставов, голеностопных суставов, мелких суставов стоп и пальцев ног; развитие тарзита, сопровождающегося болью, скованностью, нарушением функции; поражение первого метатарзофалангового сустава с формированием hallux valgus.
Часто в процесс вовлекаются плечевые, челюстновисочные и грудинно-ключичные суставы, редко — тазобедренные, крайне редко — мелкие суставы кистей рук.
Боль в грудино-ключичных и ключично-акромиальных суставах в сочетании с болью в ключице может приводить к нарушению экскурсии грудной клетки.
Поражение осевого скелета: суставы осевого скелета вовлекаются в процесс на поздних стадиях болезни.
У детей с сакроилеитом боль может вызываться при прямом надавливании на один или оба крестцово-подвздошных сустава, на таз. Также может определяться припухлость в области крестца. При поражении позвоночника выявляются сглаженность поясничного лордоза, усиление грудного кифоза, увеличение расстояния от головы до стены при проведении диагностических проб, исчезновение физиологических изгибов позвоночника и ригидность в различных его отделах. Поражение грудного отдела позвоночника может приводить к ограничению экскурсии грудной клетки.
На поздних стадиях болезни, как правило, во взрослом возрасте развивается «поза просителя» (фото 13).
![]() | ![]() |
Фото 13 (А, Б). Поражение позвоночника при ЮАС. А. Кифосколиотическая деформация грудного и поясничного отделов позвоночника. Б. Кифотические деформации грудного и шейного отделов позвоночника («поза просителя») [4].
Увеит при ЮАС и артрите, ассоциированном с энтезитом, обычно острый, односторонний и имеет рецидивирующее течение. Увеит редко предшествует поражению опорно-двигательного аппарата и в большинстве случаев не приводит к потере зрения.
Поражения сердечно-сосудистой системы, легких, почек и центральной нервной системы у детей с артритом, ассоциированным с энтезитом, встречаются редко.
Лабораторные исследования
Общий анализ крови: умеренная анемия; число лейкоцитов, как правило, нормальное или умеренно повышенное; лейкоцитарная формула не изменена, число тромбоцитов и СОЭ часто повышены в течение многих лет. Серологические показатели неспецифичны, ни ревматоидного фактора, ни значимых титров антинуклеарного фактора обычно обнаружить не удается.
Молекулярно-генетическое исследование: HLA-B27 антиген обнаруживают у 90% детей с ЮАС и артритом, ассоциированным с энтезитом.
Инструментальные исследования:
Рентгенологическое исследование. Ранние изменения в периферических суставах при артрите, ассоциированном с энтезитом, соответствуют таковым при других вариантах ЮИА. Рентгенологические признаки сакроилеита возникают через несколько лет после дебюта периферического артрита и являются первыми признаками поражения позвоночника.
Рентгенологические признаки энтезита чаще встречаются в области бугра пяточной кости, реже — коленного сустава. Они характеризуются уменьшением четкости контура и эрозиями кости в месте прикрепления ахиллова сухожилия к бугру пяточной кости, формированием «шпор». Развивается анкилозирующий тарзит.
При прогрессировании заболевания возможно развитие значительного сужения суставных щелей и анкилозов в периферических суставах (фото 14).
![]() | ![]() | ![]() |
Фото 14. Анкилоз коленного сустава при ЮАС. КТ: 3D-реконструкция [4].
Течение и прогноз. Течение артрита, ассоциированного с энтезитом, при дебюте в возрасте до 5 лет, как правило, ремиттирующее и доброкачественное. У 50% из них суставной синдром протекает с поражением 4 и менее суставов. У многих детей в процесс вовлекаются суставы осевого скелета.
Преимущественное поражение суставов нижних конечностей сохраняется весь период болезни. Через 5 лет возможно развитие ограничения движений в поясничном и грудном отделах позвоночника.
У детей и подростков функциональные нарушения в суставах и позвоночнике, как правило, не прогрессируют. Поражение тазобедренных суставов — плохой прогностический признак для развития выраженной функциональной недостаточности. Острый увеит редко сопровождается осложнениями, только в случаях рецидивирующего течения.
Факторы неблагоприятного прогноза (АКР, 2011): деструкция суставов по данным радиологического обследования (эрозии суставных поверхностей или сужение межсуставных щелей).
Продолжительность жизни пациентов с АС короче, чем в популяции. Причиной смерти в первую очередь являются кардиопульмональные и неврологические осложнения.
Осложнения:
Контрактуры в суставах;
Развитие слепоты вследствие увеита;
Недостаточность аортального клапана;
Амилоидоз.
5. Ювенильный псориатический артрит
Определение: хроническое системное прогрессирующее заболевание, характеризующееся артритом и псориазом или артритом в сочетании по крайней мере с двумя из нижеперечисленных симптомов:
дактилит;
изменение ногтей (синдром «наперстка») или онихолизис;
- псориаз у родственников первой линии (родители, сибсы).
Эпидемиология. Заболеваемость и распространенность ювенильного псориатического артрита (ЮПсА) неизвестна. По популяционным данным, включающим в основном пациентов с дебютом псориатического артрита во взрослом возрасте, в США распространенность составляет 0,10–0,25%. Заболевание встречается во всех этнических группах. В структуре ЮИА доля ЮПсА широко варьирует в зависимости от изучаемой популяции и применяемых диагностических критериев. При использовании критериев ILAR она составляет 7% (от 0 до 11,3%), при использовании Ванкуверских критериев — 8–20% [4, 10].
Выделяют 2 возрастных пика дебюта ЮПсА: дошкольный и младший и средний школьный возраст. ЮПсА не типичен для первого года жизни.
Диагноз псориатического артрита является диагнозом исключения и, поэтому, следует обращать внимание на следующие характеристики которые снижают вероятность заболеваниия:
артрита, ассоциированного с HLA-B27 антигеном, у мальчиков в возрасте старше 6 лет;
анкилозирующего спондилита; артрита, ассоциированного с энтезитом; сакроилеита в сочетании с воспалительными заболеваниями кишечника; синдрома Рейтера; острого переднего увеита или одного из этих заболеваний у родственников первой линии родства;
положительного РФ класса IgM минимум в двух пробах, взятых с интервалом не менее 3 мес;
системного ЮИА у пациента.
Для детей, заболевших в возрасте до 5 лет, характерны наличие положительного антинуклеарного фактора (АНФ) и проявления дактилита, «сосискообразного» отека отдельных пальцев. У этой возрастной подгруппы выявляются клинические и демографические признаки сходства с ранним началом олигоартикулярного ЮИА. Клинические различия включают склонность к дактилиту, вовлечение запястий и мелких суставов кистей и стоп, а также развитие полиартрита в случае неэффективности терапии.
В старшей возрастной группе мальчики и девочки болеют с одинаковой частотой. Для них характерно развитие энтезитов и поражение позвоночника, что в большей степени напоминает псориатический артрит взрослых.
Суставной синдром
Даже у детей, у которых суставной синдром носит олигоартикулярный характер, лучезапястные, голеностопные и мелкие суставы кистей поражаются чаще, чем при других подтипах олигоартрита. Без эффективного лечения олигоартрит трансформируется в полиартрит у 60–80% пациентов.
Полиартрит в дебюте развивается у 20% больных. Дистальные межфаланговые суставы, по разным данным, поражаются у 10–50% пациентов.
Поражение позвоночника. Сакроилеит развивается у 10–30% пациентов с ЮПсА, преимущественно с дебютом заболевания в старшем возрасте. Для этих пациентов характерны черты, напоминающие спондилоартропатии взрослых: сбалансированное соотношение по полу, тенденция к манифестации энтезитами. У 30–70% детей, заболевших в старшем возрасте, рентгенологически подтверждается сакроилеит; менее чем у 5% детей в процесс вовлекается поясничный отдел позвоночника. Поражение осевого скелета при ЮПсА протекает легче, чем при анкилозирующем спондилите, с тенденцией к асимметричному поражению крестцово-подвздошных суставов и отсутствием развития анкилоза позвоночника.
Общие проявления: анорексия, анемия и отставание в росте. Могут развиваться энтерит и колит. Лихорадка возникает редко — в очень тяжелых случаях, но чаще она не связана с ЮПсА.
Поражение кожи и ногтей. У большинства пациентов с ЮПсА наблюдается классический псориаз. У 40–60% из них псориаз выраженный, реже — каплевидный, редко — пустулезный и эритродермальный. Псориаз у детей трудно диагностировать. Он характеризуется тонкими мягкими бляшками, периодически появляющимися и исчезающими. Поражение кожи может быть ограничено волосистой частью головы; пупочной, заушными областями или межъягодичной складкой.
![]() | ![]() |
Фото 15 (А, Б). Характерные кожные проявления ювенильного псориатического артрита: псориатические бляшка на волосистой части головы (А); дистрофия ногтей, ногтевые ямки (точки), обесцвечивание и ранний онихолизис [4].
Одно из основных отличий ЮПсА от псориаза без поражения суставов — широко распространенные изменения ногтей. Псориатические изменения ногтевой пластинки включают вдавления (симптом «наперстка»), онихолизис, горизонтальные выступы и изменение цвета.
Хронический увеит развивается у 10–15% детей с ЮПсА.
Рентгенологическое / КТ-исследование. При раннем артрите — отек мягких тканей вокруг сустава. Пери артикулярный остеопороз может выявляться через несколько месяцев после случая отека сустава; периостальное образование новой костной ткани часто встречается в пальцах, пораженных дактилитом. Сужение суставной щели, свидетельствующее о значительной потере хрящевой ткани, а также эрозивное поражение кости чаще всего являются поздними проявлениями ЮПсА. Со временем может произойти ремоделирование костной ткани, вторичное по отношению к персистирующему периоститу и измененному эпифизальному росту. По сравнению со взрослыми пролиферативное образование новой костной ткани у детей развивается редко. Сакроилеит обычно асимметричный.
Течение и прогноз. Через 5 лет наблюдения у 70% больных сохраняется активность болезни, у 30% развивается нарушение функции суставов; у 60% — достигается ремиссия. У детей раннего возраста ремиссия развивается в более поздние сроки, чем у детей старшего возраста.
Через 15 лет у пациентов с ЮПсА функциональная недостаточность суставов более выражена, чем у детей с олиго- и полиартритом; 33% нуждаются в терапии иммунодепрессантами.
Факторы неблагоприятного прогноза (наличие хотя бы одного; АКР, 2011):
Поражение тазобедренных суставов или шейного отдела позвоночника.
Поражение голеностопного или лучезапястного сустава и значительное или продолжительное повышение лабораторных показателей активности.
Деструкция суставов по данным радиологического обследования (эрозии суставных поверхностей или сужение межсуставных щелей).
6. Системный ЮИА (болезнь Стилла)
Определение: артрит одного и более суставов, сопровождающийся или с предшествующей документированной перемежающейся лихорадкой продолжительностью не менее 3 дней в течение минимум 2 нед в сочетании с одним или более нижеперечисленными признаками:
кратковременная (летучая) эритематозная сыпь;
генерализованная лимфаденопатия;
гепатомегалия и/или спленомегалия;
- серозит (перикардит, и/или плеврит, и/или перитонит).
Диагноз сЮИА является диагнозом исключения поэтому следующих характеристики снижают вероятность заболевания:
псориаз (в т. ч. в анамнезе) у пациента или его родственников первой линии родства (родители, сибсы);
артрит, ассоциированного с HLA-B27 антигеном, у мальчиков в возрасте старше 6 лет;
анкилозирующий спондилит; артрита, ассоциированного с энтезитом; сакроилеита в сочетании с воспалительными заболеваниями кишечника; синдрома Рейтера; острого переднего увеита или одного из этих заболеваний у родственников первой линии родства;
- положительный ревматоидный фактор (РФ) класса IgM минимум в двух пробах, взятых с интервалом не менее 3 мес.
Критерии системного ЮИА по классификации PRINTO [5,7]:
Ежедневная лихорадка неизвестной причины (при исключении инфекций, неоплазий, аутоиммунных и моногенных аутовоспалительных заболеваний): температура повышается более ≥ 39°по крайней мере раз в день и снижается ≤ 37 °C между пиками) не менее трёх дней подряд и повторяется в течение не менее 2 недель
+ 2 больших критерия или
+ 1 большой и 2 малых критерия.
Большие критерии:
исчезающая эритематозная сыпь
- артрит
Малые критерии:
генерализованная лимфаденопатия и/или гепатомегалия и/или спленомегалия;
серозит;
артралгия, длящаяся ≥2 недель (при отсутствии артрита);
- лейкоцитоз ≥ 15х109/л с нейтрофилией.
Эпидемиология. На долю сЮИА приходится 10–20% всех случаев ЮИА. Развивается в любом возрасте. Мальчики и девочки болеют с одинаковой частотой.
![]() | ![]() |
Фото 16. Пятнистые высыпания при сЮИА (А). Типичные линейные высыпания на животе: скопление эритематозной сыпи в виде линий длиной от 1 до 5–6 см (Б) [4].
![]() | ![]() |
Фото 17. Типичная сыпь при сЮИА у 3-летнего мальчика [8]. Фото 18. Гепатоспленомегалия и симметричный артрит у 4-летнего мальчика с сЮИА [8].
Васкулит. Как правило, развивается ладонный и/или подошвенный капиллярит, обусловливающий цианотичную окраску ладоней и стоп, «мраморность» кожных покровов. Возможны локальные ангионевротические отеки, чаще локализующиеся в области кисти.
Лимфаденопатия. В большинстве случаев выявляется увеличение размеров лимфатических узлов практически всех групп до 4–6 см в диаметре. Лимфатические узлы, как правило, подвижные, безболезненные, неспаянные между собой, с подлежащими тканями, мягко- или плотноэластической консистенции.
Поражение сердца. Перикардит развивается в большинстве случаев у детей старшего возраста вне зависимости от пола, возраста начала заболевания и тяжести суставного синдрома. Перикардит может предшествовать манифестации артрита: как правило, развивается на высоте обострения системных проявлений на любом сроке болезни. Длительность эпизода составляет от 1 до 8 нед. Перикардит часто протекает бессимптомно, но может сопровождаться одышкой, болью в области сердца, усиливающейся в горизонтальном положении, иррадиирующей в спину, плечи, шею.
Миокардит развивается значительно реже, чем перикардит, может сопровождаться кардиомегалией и развитием сердечной недостаточности.
Поражение легких. Поражение паренхимы легких наблюдается редко. Плеврит обычно развивается в сочетании с перикардитом, часто носит бессимптомный характер и диагностируется при радиологическом исследовании легких.
Поражение печени и селезенки. Спленомегалия наиболее выражена в первые годы от дебюта заболевания. Увеличение селезенки может быть значительным, но при этом не сопровождаться нейтропенией. Гепатомегалия развивается реже, чем спленомегалия. Прогрессирующее увеличение размеров печени характерно для вторичного амилоидоза.
Синдром активации макрофагов (гемофагоцитарный синдром). Состояние ребенка резко ухудшается. Лихорадка носит гектический характер. На коже появляется геморрагическая сыпь. Могут возникать кровотечения из слизистых оболочек. Нарастают лимфаденопатия, гепатоспленомегалия. Развиваются полиорганная недостаточность, нарушение сознания, кома.
При лабораторных исследованиях в клиническом анализе крови — тромбоцитопения, лейкопения, эритропения, снижение СОЭ; в биохимическом анализе крови — повышение концентрации ферритина, триглицеридов, активности трансаминаз; в коагулограмме — повышение содержания фибриногена и продуктов деградации фибрина (ранний доклинический признак), снижение концентрации факторов свертывания крови II, VII, X; в пунктате костного мозга определяется большое число макрофагов, фагоцитирующих гемопоэтические клетки.
При тяжелом неконтролируемом течении возможен летальный исход.
Поражение суставов. У большинства пациентов развивается полиартрит (фото 19).

Фото 19. Полиартрит при сЮИА. Припухлость плечевых, локтевых, лучезапястных, коленных, голеностопных и мелких суставов кистей и стоп; атрофия мышц конечностей, вальгусная деформация коленных суставов, контрактуры в коленных и локтевых суставах. Ребенок не может самостоятельно стоять [4].
Наиболее часто в процесс вовлекаются лучезапястные, коленные и голеностопные суставы. Более чем у 50% больных также поражается шейный отдел позвоночника, мелкие суставы кистей и челюстно-височные суставы. В дебюте болезни суставной синдром может быть минимальным, его распространенность нарастает в течение нескольких месяцев. В ряде случаев на протяжении нескольких месяцев, а иногда лет суставной синдром не выражен и проявляется артралгиями.
В отдельных случаях развивается тяжелый полиартрит, который характеризуется резистентностью к противоревматической терапии и выраженной функциональной недостаточностью суставов. У пациентов с полиартритом нередко развиваются теносиновиты и синовиальные кисты.
Поражение мышц. Миалгии часто развиваются на высоте активности системных проявлений; по выраженности болевого синдрома превосходят артрит. У некоторых пациентов наблюдается миозит с отеком мышц, болью, повышением концентрации ферментов мышечного распада в крови и типичными проявлениями при проведении МРТ.
Лабораторные исследования
Общий анализ крови у пациентов с системной формой ЮРА / ЮИА / болезнью Стилла соответствует картине выраженного воспаления: лейкоцитоз (> 30–50х109/л) с нейтрофильным сдвигом влево (до 25–30% палочко-ядерных лейкоцитов, иногда — до миелоцитов), повышение СОЭ (до 100 мм/ч, иногда и выше), гипохромная анемия, тромбоцитоз (> 1000х109/л), значительное повышение концентраций СРБ, IgM, IgG, ферритина.
Специфическими показателями для системной формы ювенильного артрита являются следующие биомаркеры:
Белок S100 (кальгранулин) в сыворотке – отражает активацию нейтрофильных гранулоцитов и процесс их дегрануляции (нетоз). Кальгранулин (кальпротектин) является основным белком цитозоля нейтрофилов, поэтому его повышенные концентрации увеличиваются при нейтрофильном воспалении. Особенно повышенные уровни кальгранулина сыворотки отмечаются при системной форме болезни Стилла у детей и взрослых, что позволяет рассматривать их в качестве характерного биомаркера для этого заболевания.
Интерлейкин-18 – в значительном количестве образуется в ходе активации инфламмасомы, характерной для болезни Стилла. В отличии от интерлейкина-1 хорошо детектируется в сыворотке и служит общим показателем для всех аутовоспалительных заболеваний, протекающих с вовлечением нейтрофильного компонента. Особенно высокие значения интерлейкина-18 отмечаются при болезни Стилла.
Фракция гликозилированного ферритина – оценка фракции гликозилированного ферритина позволяет выявить одно из тяжелейших осложнений системной формы ЮХА (болезни Стилла), а именно синдром макрофагальной активации (гемофагоцитарный синдром). Активация макрофагов сопровождается выраженными цитокиновым штормом и изменением фенотипа макрофагов с появлению способности к фагоцитозу эритроцитов. Неконтролируемый гемофагоцитоз приводит к появлению в кровотоке «макрофагального» ферритина, лишенного гликозилирования, и значительно увеличивает общее содержание ферритина в крови. Этот механизм приводит к гиперферритинемическому синдрому. Оценка уровня гликозилированного ферритина является наилучшим тестом для выявления этого опасного осложнения.
Инструментальные исследования:
Рентгенография суставов. Изменения хрящевой и костной ткани имеются у большинства пациентов. При рентгенологическом обследовании через 2 года от дебюта болезни у 30% пациентов выявляется сужение суставных щелей, у 35% — эрозии, у 10% — нарушение роста костей. Ранние рентгенологические изменения развиваются в лучезапястных, тазобедренных и плечевых суставах. Через 6,5 лет у 39% пациентов выявляется сужение суставных щелей, у 64% — эрозии, у 25% — нарушение роста костей. При агрессивном течении сЮИА развивается анкилоз в лучезапястных и апофизальных суставах шейного отдела позвоночника, а также асептический некроз тазобедренных суставов (фото 14).

Фото 20 (А, Б). Коксартроз, осложнившийся асептическим некрозом головки бедренной кости при сЮИА. КТ, реконструкция во фронтальной проекции (А, Б). Асептический некроз головки бедренной кости (1). Отмечаются уменьшение в объеме и уплощение суставной поверхности бедренной головки с выраженной кистовидной перестройкой костной ткани головки (2) и подвздошной кости (3), чередующейся с участками субхондрального остеосклероза. На этом фоне определяется резкое сужение суставной щели с наличием признаков анкилозирования — участков, где суставная щель не прослеживается (4). Остеофиты на краях суставных поверхностей (5). Уплотнение костной ткани и укорочение шейки бедренной кости (6) [4].
Течение и прогноз:
У 40% пациентов наблюдается моноциклическое течение болезни, и они полностью восстанавливаются после определенного периода.
У отдельных пациентов — полициклическое течение сЮИА, характеризующееся эпизодами активности болезни и периодами ремиссии без лекарственных препаратов. У 50% детей — персистирующее течение заболевания с прогрессирующим полиартритом и функциональной недостаточностью.
Факторы неблагоприятного прогноза (АКР, 2011):
При сЮИА без активного суставного синдрома: активные системные проявления болезни в течение 6 мес (лихорадка, высокие лабораторные показатели), необходимость в повторном назначении глюкокортикоидов системного действия.
При сЮИА с активным суставным синдромом без активных системных проявлений: поражение тазобедренных суставов и/или деструкция суставов по данным радиологического исследования (эрозии суставных поверхностей, сужение межсуставных щелей).
Осложнения:
задержка роста, амилоидоз, остеопороз, коксартроз.
7. Ранний АНФ-позитивный ЮИА
Критерии:
артрит ≥ 6 недель и
возраст ≤ 6 лет и
- наличие 2-х позитивных результатов антинуклеарного фактора с титром ≥ 1/160 (методом иммунофлюоресценции на HEp-2 клетках) с разницей как минимум в 3 месяца.
Диагноз ранний АНФ-позитивный ЮИА не может быть установлен при наличии:
системного ЮИА
РФ-позитивного артрита
- ЮИА, ассоциированного с энтезитом/спондилитом
Данная подгруппа
заболевания появилась, поскольку есть значительная неклассифицированная группа
пациентов в возрасте до 6 лет, преимущественно женского пола со специфическими
признаками заболевания, такими как симметричный артрит, иридоциклит,
АНФ-позитивность и HLA-DR8-позитивность. Данное
заболевание встречается только у детей, у него нет “взрослого” аналога. В западных
странах эти пациенты составляют подавляющие большинство среди пациентов с ЮИА,
и к ним сейчас относят большую часть тех пациентов, которые раньше
классифицировались как олигоартикулярный ЮИА. Также это пациенты, которые ранее
были отнесены к категориям РФ-негативного полиартрита (если были поражены > 4 суставов в первые 6 месяцев
заболевания) и псориатического артрита (если присутствовали признаки псориаза).
Диагностика ювенильного артрита
Литература
1) Ross E. Petty, Ronald M. Laxer, Lucy R. Wedderburn, Chapter 15 - Juvenile Idiopathic Arthritis, Textbook of Pediatric Rheumatology (Seventh Edition), W.B. Saunders, 2016, Pages 188-204.e6, ISBN 9780323241458, https://doi.org/10.1016/B978-0-323-24145-8.00015-6
2) Krumrey-Langkammerer M, Häfner R. Evaluation of the ILAR criteria for juvenile idiopathic arthritis. J Rheumatol. 2001 Nov;28(11):2544-7. PMID: 11708431.
3) Joyce J. Hsu, Tzielan C. Lee, Christy I. Sandborg, Chapter 107 - Clinical Features and Treatment of Juvenile Idiopathic Arthritis, Kelley and Firestein's Textbook of Rheumatology (Tenth Edition), Elsevier, 2017, Pages 1826-1843.e6, https://doi.org/10.1016/B978-0-323-31696-5.00107-8
4) Алексеева Е.И. Ювенильный идиопатический артрит: клиническая картина, диагностика, лечение. Вопросы современной педиатрии. 2015;14(1):78-94. https://doi.org/10.15690/vsp.v14i1.1266
5) Zaripova LN, Midgley A, Christmas SE, Beresford MW, Baildam EM, Oldershaw RA. Juvenile idiopathic arthritis: from aetiopathogenesis to therapeutic approaches. Pediatr Rheumatol Online J. 2021 Aug 23;19(1):135. doi: 10.1186/s12969-021-00629-8
6) Lucy R. Wedderburn, David Bending, Kiran Nistala, Chapter 106 - Etiology and Pathogenesis of Juvenile Idiopathic Arthritis, Kelley and Firestein's Textbook of Rheumatology (Tenth Edition), Elsevier, 2017, Pages 1816-1825, ISBN 9780323316965, https://doi.org/10.1016/B978-0-323-31696-5.00106-6
7) Martini A, Ravelli A, Avcin T, Beresford MW, Burgos-Vargas R, Cuttica R, Ilowite NT, Khubchandani R, Laxer RM, Lovell DJ, Petty RE, Wallace CA, Wulffraat NM, Pistorio A, Ruperto N; Pediatric Rheumatology International Trials Organization (PRINTO). Toward New Classification Criteria for Juvenile Idiopathic Arthritis: First Steps, Pediatric Rheumatology International Trials Organization International Consensus. J Rheumatol. 2019 Feb;46(2):190-197. doi: 10.3899/jrheum.180168
8) Fabrizio De Benedetti, Rayfel Schneider, Chapter 16 - Systemic Juvenile Idiopathic Arthritis, Textbook of Pediatric Rheumatology (Seventh Edition), W.B. Saunders, 2016, Pages 205-216.e6, ISBN 9780323241458, https://doi.org/10.1016/B978-0-323-24145-8.00016-8
9) Alan M. Rosenberg, Kiem G. Oen, Chapter 17 - Polyarticular Juvenile Idiopathic Arthritis, Textbook of Pediatric Rheumatology (Seventh Edition), W.B. Saunders, 2016, Pages 217-228.e6, ISBN 9780323241458, https://doi.org/10.1016/B978-0-323-24145-8.00017-X
10) Peter A. Nigrovic, Robert P. Sundel, Chapter 20 - Juvenile Psoriatic Arthritis, Textbook of Pediatric Rheumatology (Seventh Edition), W.B. Saunders, 2016, Pages 256-267.e5, ISBN 9780323241458, https://doi.org/10.1016/B978-0-323-24145-8.00020-X
11) Shirley M.L. Tse, Ross E. Petty, Chapter 19 - Enthesitis Related Arthritis, Textbook of Pediatric Rheumatology (Seventh Edition), W.B. Saunders, 2016, Pages 238-255.e6, ISBN 9780323241458, https://doi.org/10.1016/B978-0-323-24145-8.00019-3






![Боковая рентгенограмма шейного отдела позвоночника ребенка с РФ-негативным ЮИА, показывающая костный анкилоз второго и третьего шейных позвонков [9]. Боковая рентгенограмма шейного отдела позвоночника ребенка с РФ-негативным ЮИА, показывающая костный анкилоз второго и третьего шейных позвонков [9].](/upload/dev2fun.imagecompress/webp/medialibrary/e4d/content_img.webp)










![скопление эритематозной сыпи в виде линий длиной от 1 до 5–6 см (Б) [4]. скопление эритематозной сыпи в виде линий длиной от 1 до 5–6 см (Б) [4].](/upload/dev2fun.imagecompress/webp/medialibrary/56a/content_img.webp)

