Псориатический артрит. Клиническая картина и диагностика
Определение
Псориатический артрит (псориаз артопатический, ПсА) – хроническое воспалительное заболевание суставов, позвоночника и энтезисов, которое может наблюдаться у больных с псориазом. При ПсА главным образом наблюдается воспаление периферических суставов (артрит), пальцев кистей и стоп (дактилит), энтезисов (энтезит), а также может наблюдаться воспаление в аксиальных структурах – телах позвонков (спондилит) и илиосакральных сочленениях (сакроилиит). Относится к серонегативным спонлилоартропатиям.
Эпидемиология
Псориатический артрит выявляется у 19,7% больных псориазом и у 24,6% – с умеренной и высокой степенью тяжести псориаза. Может развиться в любом возрасте, часто страдает трудоспособная часть населения. У 70% больных кожные проявления псориаза появляется раньше поражения опорно-двигательного аппарата, у 20% – одновременно, у 15–20% больных – псориатический артрит возникает до первых кожных проявлений псориаза. В больших выборках отмечена высокая частота случаев псориатического артрита у больных с распространенным псориазом.
Этиология
Этиология ПсА неизвестна. Имеются данные о наследственной предрасположенности к развитию псориаза и псориатического артрита: более 40% больных ПсА имеют родственников первой степени родства, страдающих этими заболеваниями. В настоящее время наиболее важными генетическими биомаркерами считаются HLA-B27 и HLA-Cw6.
По одним данным, HLA-B27 антиген выявляют у 40–50% больных ПсА. По другим данным, HLA-B*27 присутствует у 20% больных ПсА и у 5% больных псориазом.
Распространенность аллеля HLA-Cw6 в общей популяции колеблется от 14,1% до 59,1%. По одним данным, в популяции больных с псориазом процент пациентов с наличием HLA-Cw6 варьирует от 10,5% до 77,2%. По другим данным, HLA-C*06 присутствует у 30% больных ПсА и у 60% больных псориазом. Фенотипически HLA-Cw6 связан с псориазом 1-го типа (имеет более тяжёлое клиническое течение, чем псориаз 2-го типа). Кроме этого, данный генотип встречается в практически 100% случаев каплевидного псориаза. При псориазе 1-го типа около 83% пациентов являются носителями аллеля HLA-C*06, тогда как при псориазе 2-го типа доля HLA-Cw6-позитивных пациентов составляет всего 44% (данные EUROIMMUN). Пациенты с ПсА с HLA-Cw6 чаще имеют ранний дебют заболевания и, у них как правило, кожные проявления предшествуют поражению опорно-двигательного аппарата.
Псориаз и ПсА считают Т-клеточно-опосредованными заболеваниями, при которых происходит активация клеточного иммунитета в коже и синовии с последующими гиперпродукцией и дисбалансом ключевых про- и противовоспалительных цитокинов таких как фактор TNFα, IL12, IL23, IL17, IL1, IL1ß, IL6 и хемокинов.
Клиническая картина
Основные клинические проявления ПсА - периферический артрит, дактилит, спондилит, энтезит, теносиновит, а также псориатическое поражение кожи различной локализации.
Периферический артрит клинически проявляется болью, припухлостью, ограничением подвижности суставов. Характерные признаки – артрит дистальных межфаланговых суставов кистей/стоп и «редискообразная» деформация, осевой артрит (одновременное поражение трех суставов одного пальца), дактилит и «сосискообразная» деформация пальцев кистей и стоп.
Дактилит (воспаление пальца/пальцев) возникает в результате одновременного поражения сухожилий сгибателей и/или разгибателей пальцев и артрита межфаланговых суставов. Клинически проявляется болью, цианотично-багровым окрашиванием кожных покровов, плотным отеком всего пальца, болевым ограничением сгибания, формируется характерная для ПсА «сосискообразная» деформация пальца.
Энтезит клинически проявляется болью, иногда припухлостью в точках энтезов. Локализация - верхний край надколенника, края (крылья) подвздошных костей, трохантеры, место прикрепления ахиллова сухожилия и подошвенного апоневроза к пяточной кости, латеральный надмыщелок плечевой кости, медиальный мыщелок бедренной кости. Энтезиты пяточных областей часто являются причиной снижения функциональных возможностей больных.
Теносиновит - воспаление сухожилий сгибателей и/или разгибателей пальцев кистей и стоп. Клинически проявляется болью, припухлостью по ходу сухожилий, а также ограничением функции (сгибание пальцев).
Спондилит - воспаление структур осевого скелета. Проявляется воспалительной болью в спине (ВБС), которая оценивается по критериям ASAS (2009).
Сакроилиит характеризуется воспалительной болью в нижней части спины и/или перемежающейся болью в ягодицах. Боль может иррадиировать по задней поверхности бедра, быть кратковременной, по типу "прострела" и "радикулита".
Аксиальное поражение при ПсА имеет ряд особенностей. В 25% случаев сакроилиит и спондилит при ПсА протекают латентно (без боли). Сакроилиит при ПсА, в отличие от АС, – часто асимметричный. Для ПсА характерно медленное рентгенологическое прогрессирование сакроилиита, полный анкилоз КПС на фоне длительного течения заболевания отмечается значительно реже, чем при АС (до 6% пациентов). При ПсА возможно поражение позвоночника (рентгенологические признаки спондилита) без сакроилиита, чего не наблюдается при анкилозирующем спондилите (АС). При ПсА, в противоположность АС, синдесмофиты чаще малочисленны, расположены асимметрично, в случайном порядке, не вдоль ≪последовательно идущих≫ позвонков, имеют больший размер и объемную форму, встречаются паравертебральные синдесмофиты (ПВС) – особый вариант обызвествления передней продольной связки позвоночника. ПВС представляют собой широкие грубые оссификаты, которые отстоят от края тела позвонка. Также наблюдаются краевые синдесмофиты (КС) – вертебральные оссификаты, отходящие от края тела позвонка вверх. КС могут образовывать ≪мостики≫ между позвонками. КС и ПВС ориентированы вверх (сужения смежного межпозвонкового промежутка не наблюдается). Это отличает их от выявляемых при дегенеративных заболеваниях позвоночника остеофитов (или спондилофитов), которые ориентированы горизонтально, около измененного диска (сужение межпозвонкового промежутка). Нередко, несмотря на существенные рентгенологические изменения, у больных отсутствуют заметные функциональные нарушения, что также отличает спондилит при ПсА от поражения позвоночника при АС. Спондилит и сакроилиит могут наблюдаться при любой клинической форме ПсА.
Классификация
Таблица 1. Пять клинических форм псориатического артрита (Moll J., Wright V.,1973):
|
Клинические варианты ПсА |
Основные характеристики |
|---|---|
|
Дистальная форма |
Преимущественное поражение дистальных межфаланговых суставов кистей (ДМФС) кистей и стоп. |
|
Асимметричный моно-, олигоартрит |
Встречается у большинства больных с ПсА (до 70%). Обычно вовлекаются коленные, лучезапястные, голеностопные, локтевые, а также межфаланговые суставы кистей и стоп, при этом общее число воспаленных суставов не превышает 4-х. |
|
Симметричный полиартрит (ревматоидоподобная форма) |
Наблюдается у 15–20% пациентов с ПсА. Характеризуется вовлечением парных суставных областей как при ревматоидном артрите. Часто наблюдают асимметричный полиартрит пяти или более суставов. |
|
Псориатический спондилит |
Характеризуется воспалительным поражением позвоночника как при АС, часто (у около 50%) сочетается с периферическим артритом, редко (2-4%) – наблюдают изолированный спондилит. |
|
Мутилирующий артрит |
Редкая клиническая форма ПсА, наблюдается у 5% больных, характеризуется распространенной резорбцией суставных поверхностей (остеолиз) с укорочением пальцев кистей и/или стоп с формированием «телескопической деформации», укорочения, разнонаправленных подвывихов пальцев конечностей. В тоже время, локальный (ограниченный) остеолиз суставных поверхностей может развиваться при всех клинических вариантах ПсА. |
Рисунок 1. Дистальная форма псориатического артрита. Артрит ДМФС кистей в сочетании с псориатической ониходистрофией (онихолизис) ногтей

Рисунок 2. Осевое поражение суставов кистей при псориатическом артрите. Артрит ПяФС, ПМФС и ДМФС II пальца правой кисти

Рисунок 3. Асимметричное поражение суставов стоп при псориатическом артрите. Артрит 2-го, 3-го ПлФС левой стопы, 3-го левого ПМФС левой стопы, дактилит V пальца правой стопы

Рисунок 4. Моноартрит 1-го межфаланговогосустава кисти у больной с псориазом (симптом "наперстка")

Рисунок 5. Ревматоидоподобная форма псориатического артрита. Симметричный артрит ПМФС кистей

Рисунок 6. Артрит ДМФС стоп, редискообразная деформация II пальца правой стопы у больного ранним псориатическим артритом в сочетании с псориазом ногтей (онихолизис, онихомадез)

Рисунок 7. Мутилирующая форма псориатического артрита. Разнонаправленные подвывихи суставов кистей, деформация по типу "шеи лебедя" (II, III, IV пальцы правой кисти), укорочение III, V пальцев левой кисти в результате резорбции кости

Рисунок 8. Дактилит при псориатическом артрите. Равномерное утолщение IV пальца правой стопы с цианотично-багровым окрашиванием кожных покровов над пораженными суставами – сосискообразная деформация

Рисунок 9. Энтезит при псориатическом артрите. Ахиллобурсит левой стопы – припухание в области прикрепления ахиллова сухожилия к заднему краю пяточной кости

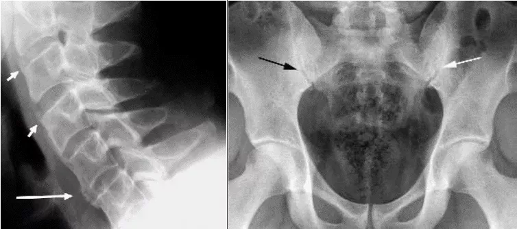
Рисунок 10. Слева: Рентгенограмма шейного отдела позвоночника в боковой проекции. Псориатический спондилит. Синдесмофиты (короткие стрелки) и обызвествление (длинная стрелка) передней продольной связки в шейном отделе. Справа: Рентгенограмма таза. Двусторонний асимметричный сакроилиит III стадии слева и I стадии справа (черная стрелка). Видны широкая зона остеосклероза (>3 мм), сужение и неровность щели КПС, частичный анкилоз (белая стрелка). Сакроилиит считается асимметричным, когда между правым и левым КПС различия больше, чем на одну стадию.

Рисунок 11. Рентгенограммы нижнегрудного и поясничного отделов позвоночника при псориатическом артрите. Спондилит, грубые синдесмофиты, уплотнение передней продольной связки (стрелки)

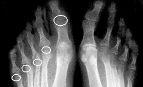
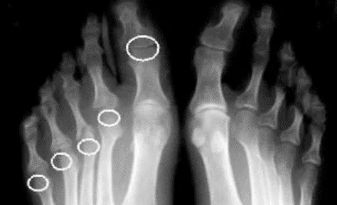
Рисунок 12. Рентгенограмма стоп при псориатическом артрите. Асимметричный эрозивный артрит с остеолизом ПлФС правой стопы и внесуставная эрозия 1-го межфалангового сустава

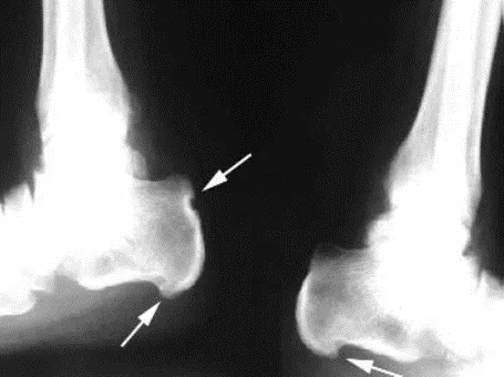
Рисунок 13. Рентгенограмма пяточных областей в боковой проекции при псориатическом артрите. Видны энтезофиты в области плантарной фасции, эрозия задней поверхности пяточного бугра (стрелки).
Диагностика
Жалобы и анамнез
Пациенты предъявляют жалобы на боль, припухлость в суставах кистей и стоп, в коленных, голеностопных, реже плечевых, локтевых и тазобедренных суставах. Одновременно могут наблюдаться боли в области пяток при ходьбе, в месте прикрепления ахилловых сухожилий, а также боль в любом отделе позвоночника, преимущественно в шейном или пояснично-крестцовом, которая возникает в ночное время, уменьшается после физических упражнений или приема нестероидных противовоспалительных препаратов, боль в грудной клетке при дыхании.
У большинства пациентов, которые предъявляют данные жалобы, имеется псориаз кожи и/или ногтей на момент осмотра либо семейный анамнез по псориазу. У части больных перечисленные жалобы возникли спонтанно, примерно у трети – после травмы, значительной физической или эмоциональной нагрузки. Необходимо отметить, что боль в позвоночнике у большинства больных может быть незамеченной в течение длительного времени [12-14].
Лабораторные и инструментальные исследования
- Клинический анализ крови, СОЭ, СРБ
- Ревматоидный фактор. Пациентам с положительным результатом определения РФ в целях дифференциальной диагностики с ревматоидным артритом определение анти-CCP антител1.
- Типирование на HLA-B27
- Типирование на HLA-Cw6
- Мочевая кислота в крови (для исключения гиперурикемии и подагры)2
- Лечебно-диагностическая пункция синовиальной сумки сустава (пациентам с острым артритом коленного или 1-го плюсне-фалангового сустава)
- Рентгенография поражённых суставов3
- Для дифференциальной диагностики псориатического артрита с артритами, ассоциированными с инфекциями, необходимы лабораторные исследования на выявление хламидий, сальмонелл, иерсиний, шигелл, кампилобактера
1При псориатическом артрите ревматоидный фактор и антитела к циклическому цитрулиновому пептиду (анти-CCP) могут выявляться в крови в низких титрах у 15–18,9% и у 0,9–2,9% пациентов соответственно.
2У пациентов с тяжелым псориазом, псориатическим артритом может наблюдаться вторичная гиперурикемия, которая не сопровождается острыми приступами подагры.
3Характерные рентгенологические изменения при псориатическом артрите: сужение суставной щели; костная ремодуляция (резорбция концевых фаланг, крупные эксцентрические эрозии, остеолиз – деформация «карандаш в стакане») и пролиферации (краевые костные разрастания, периоститы, энтезофиты и костные анкилозы), асимметричный двусторонний/односторонний сакроилиит, паравертебральные оссификаты и краевые синдесмофиты
Диагностические критерии
Таблица 2. Критерии псориатического артрита CASPAR
|
1. Псориаз:
семейный анамнез псориаза. |
Баллы 2 1 1 |
|
2. Псориатическая дистрофия ногтей: точечные вдавления, онихолизис, гиперкератоз |
1 |
|
3. Отрицательный ревматоидный фактор (кроме метода латекс-теста) |
1 |
|
4. Дактилит:
|
1 |
|
5. Рентгенологические признаки внесуставной костной |
1 |
Диагноз спондилита при псориатическом артрите устанавливается на основании наличия двух из четырех представленных ниже признаков:
1. Наличие воспалительной боли в спине по критериям (ASAS, 2009).
2. Ограничение подвижности в шейном, грудном или поясничном отделе позвоночника в сагиттальной и фронтальной плоскостях.
3. Признаки двустороннего сакроилиита 2 стадии и выше или одностороннего 3 стадии и выше (по Kellgren) на обзорной рентгенограмме таза или синдесмофиты в позвоночнике.
4. Выявление МРТ-активного сакроилиита (остеит/отек костной ткани в области крестцово-подвздошных сочленений в режиме STIR с подавлением жира).
Дифференциальный диагноз
Таблица 3. Дифференциальная диагностика псориатического артрита
|
Клинические проявления |
Псориатический артрит |
Ревматоидный артрит |
Анкилозирующий спондилит |
Реактивный артрит |
|---|---|---|---|---|
|
Пол |
М=Ж |
Ж>М |
М>Ж |
М>Ж |
|
ДМФС |
Очень часто |
Редко |
Не наблюдается |
Не наблюдается |
|
Дактилит |
Часто |
Не наблюдается |
Редко |
Часто |
|
Энтезит |
Средняя частота |
То же |
Часто |
Средняя частота |
|
Спондилит |
Средняя частота |
- |
Очень часто |
То же |
|
Сакроилиит |
Асимметричный |
- |
Симметричный |
Асимметричный |
|
Поражение глаз |
Редко передний увеит |
Редко |
Часто передний увеит, иридоциклит |
Часто острый конъюнктивит |
|
Тип артрита |
Асимметричный олиго-, полиартрит |
Симметричный полиартрит |
Артрит суставов нижних конечностей, спондилит |
Олигоартрит суставов нижних конечностей |
|
Ревматоидный фактор |
Обычно нет |
Очень часто |
Не наблюдается |
Не наблюдается |
1) Псориаз артропатический. Псориатический артрит. Клинические рекомендации МЗ РФ. 2024 г.
2) Коротаева Т.В., Корсакова Ю.Л., Логинова Е.Ю., Губарь Е.Е., Чамурлиева М.Н. Псориатический артрит. Клинические рекомендации по диагностике и лечению. Современная ревматология. 2018;12(2):22-35. https://doi.org/10.14412/1996-7012-2018-2-22-35
3) Taylor W.J., Gladman D.D., Helliwell P.S. et al. Classification criteria for psoriatic arthritis: development of new criteria from a large international study. Arthritis Rheum. 2006; 54: 2665–2673. doi: 10.1002/art.21972
4) Chen L, Tsai TF. HLA-Cw6 and psoriasis. Br J Dermatol. 2018 Apr;178(4):854-862. doi: 10.1111/bjd.16083
5) Owczarek W. The role of HLA-Cw6 in psoriasis and psoriatic arthritis. Reumatologia. 2022;60(5):303-305. doi: 10.5114/reum.2022.120752
6) Queiro R, Morante I, Cabezas I, Acasuso B. HLA-B27 and psoriatic disease: a modern view of an old relationship. Rheumatology (Oxford). 2016 Feb;55(2):221-9. doi: 10.1093/rheumatology/kev296